牙齿稀疏会引起哪些危害
发布日期:2017-01-09 次浏览
想要具体了解牙齿稀疏会引起哪些危害?
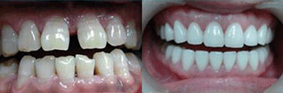
点击【在线咨询】直接问医生!方便!快捷!牙齿稀疏是生活中常见的牙齿问题,会给生活和工作学习带来一定的影响,因此当发现有牙齿稀疏问题,应及时到正规口腔医院进行矫正,以免危害牙齿危害身体。
直接与医院在线医师一对一通话,方便!快捷!了解详情就医指导。
牙齿稀疏会引起哪些危害呢?
危害1、影响身体健康
医生指出如果牙齿出现稀疏的现象,那么就会对个人的咀嚼能力造成一定的影响,会使食物咀嚼不充分,从而增加胃肠的负担 ,久而久之就会引起消化不良或胃肠疾病问题,影响身体对营养的吸收,进而影响身体健康。其次牙齿稀疏还会影响发音功能,使有些音发不准确,影响交际。
危害2、影响口腔健康
牙齿稀疏会使上下牙齿之间咬合关系不良,在咀嚼食物时容易使面部肌肉出现疲劳状态,久而久之就会引起颞下颌关节疾病的发生,使在张闭口时关节发出弹响声,时间长了就会引起疼痛等不适症状。因此,医生建议在生活当中要多注意。牙齿稀疏对人的影响非常的大,一旦发现有这种现象,应及时去正规口腔医院接受矫正。
点这里,直接预约医生!方便快捷!
危害3、影响心理健康
牙齿稀疏问题严重的会影响个人的外貌,对牙齿稀疏者的心理造成一定的压力,如若这种压力长期得不到缓解,那么牙齿稀疏者就有可能会对社会产生消极反应,从而影响心理健康。
危害4、影响容貌美观
牙齿出现稀疏的问题就会使个人的面部受到一定的影响,影响个人的外观,这样就会对个人的职业学习和人际交际产生重大影响,有的牙齿稀疏者会因为容貌的美观受到影响,导致思想负担沉重、以及有严重的自卑感,从而影响人生。
福州爱尚贝臣口腔门诊部有限公司诊疗设备先进、消毒严格、诊疗规范,视患者、客户为家人,量身设计个性化美牙方案,服务贴心。本着“促进口腔健康,提高生命质量”的服务理念,以人为本,以患者为中心,竭诚为广大患者朋友服务。
还有不明白的,点击免费咨询,或者拨打24小时贝臣美牙热线0591-88681777咨询,福州爱尚贝臣口腔门诊部有限公司医生为您解答!


