金属牙套效果好吗
发布日期:2017-01-08 次浏览
想要具体了解金属牙套效果好吗?
点击【在线咨询】直接问医生!方便!快捷!随着“颜值”两个字的分量越来越重,目前很多人都盲目的选择了隐形牙齿矫正,但是其实很多情况是可以选择金属牙套矫正,不过经常会因为美观性的原因,一次又一次的被大家PASS掉,那么金属牙套矫正的效果到底怎么样?
直接与医院在线医师一对一通话,方便!快捷!了解详情就医指导。
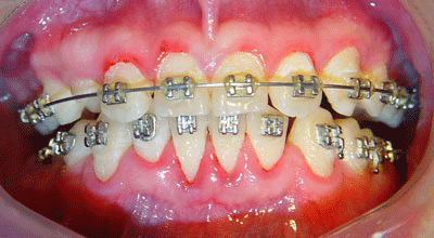
金属牙套效果好吗?
点这里,直接预约医生!方便快捷!
医生介绍,金属牙套就是在牙齿上粘结称为托槽的小铁片,托槽需要用细钢丝(或橡皮圈)和矫正钢丝固定在一起,使牙齿发生移动,达到矫正的目的。由于金属牙套的矫正力度比较大,牙齿移动的速度比较快,矫正的效果比较好,特别适用于青少年牙齿矫正。
金属牙套的历史比较悠久,也是使用广泛的一种托槽,它的已经非常成熟,矫正效果好,也特别人性化,医生根据不同情况定期进行调整,价格也比较亲民。但是由于其矫正装置比较繁琐,外表不是很美观,不能自行摘戴,而且不利于清洁,需要每个月需要复诊一次,所以陶瓷牙套已经逐渐替代钢牙牙套成为青少年比较喜欢的一种。

陶瓷牙套逐渐替代金属牙套 成为青少年矫正主流
金属牙套是一种传统的矫正牙套,看起来没有那么美观,而且舒适度各方面也是不如陶瓷的。陶瓷牙套属半隐形正畸牙套,外表超滑细腻,而且体积小、轻薄,感觉更舒适,它也有稳定持续的矫正力效果是相当不错的,不过价格比金属的要贵一些。
1.透明美观,所以矫正时是不轻易让人发觉的,对美观没有很大的影响,不会像金属的那么难看,而且它表面超滑细腻,戴上后异物感和摩擦力都小,还能缩短正畸时间。
2.安全无刺激,陶瓷牙套有高度的稳定性,对人体刺激很少,它还兼有金属托槽的滑动特性,就算是成年人,也不会影响到矫正速度。
3.效果明显,它不但外观要比金属牙套精美,而且一般不会出现不适,所以不但能减轻患者口腔不适感,特别适用于对于金属过敏的牙齿矫正者。
4.固定性好,因为陶瓷牙套的内衬是金属槽沟,所以它同样有很好的固位性,能有助于钢丝自由滑动,提高治疗效果;另外它佩带更舒适,牵引更方便; 拆卸也方便容易。
医生提示,陶瓷牙套和金属牙套都有各自的优缺点,所以具体的选择哪种牙套,建议大家需要根据自己的牙齿情况和医生的建议和指导进行选择,只要适应症符合,配合医生完成矫正过程,一般都可以达到很好的矫正效果。
还有不明白的,点击免费咨询,或者拨打24小时贝臣美牙热线0591-88681777咨询,福州爱尚贝臣口腔门诊部有限公司医生为您解答!


