牙齿拥挤排列不齐怎么办
发布日期:2017-01-08 次浏览
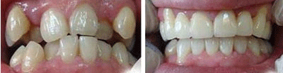
想要具体了解牙齿拥挤排列不齐怎么办?
点击【在线咨询】直接问医生!方便!快捷!对于牙齿拥挤排列不齐的现象,想必大家并不陌生,因为现实中很多朋友都有这样的现象。医生表示,牙齿拥挤排列不齐不但会影响正常牙齿的咀嚼功能,同时也会影响我们迷人的微笑。那么牙齿拥挤排列怎么办?
直接与医院在线医师一对一通话,方便!快捷!了解详情就医指导。
牙齿拥挤排列不齐一般可分为轻度牙齿拥挤排列不齐、中度牙齿拥挤排列不齐、重度牙齿拥挤排列不齐三种程度,牙齿拥挤排列不齐程度不同,采取的矫正方法也是不同的,详情如下:
一、牙套矫正
对于轻度牙齿拥挤排列不齐,采用牙套矫正是一种不错的方法。牙套矫正是目前为成熟的牙齿矫正方法,利用生物力学原理,在牙面上钉上牙钉,然后在牙钉上扣上钢丝,通过对钢丝的不断施加压力,使牙齿慢慢移动,回归到整齐位置,使牙齿变齐整美丽。目前牙套种类由很多,有传统牙套、陶瓷牙套、隐形牙套等,大家可结合牙况选择。
点这里,直接预约医生!方便快捷!
二、美容冠矫正
成年人牙齿拥挤排列不齐,首选美容冠矫正。美容冠矫正是流行于全球的新兴牙齿矫正美容术,在畸形牙、错位牙、牙齿拥挤、排列不齐、四环素牙、氟斑牙等临床冠部位施加专业手段,然后再加美容修复,实现牙齿美容的目的。美容冠美牙具有不拔牙,高效,美观,坚固耐用等优点。
三、拔牙治疗
中度牙齿拥挤排列不齐和重度牙齿拥挤排列不齐,一般采用拔牙与戴矫治器相结合的方法治疗。大家放心,拔牙治疗是拔除毫无保留价值的牙,一般为双尖牙和多生牙。
温馨提示,牙齿拥挤排列不齐主要是牙量和骨量不协调造成的,牙量相对较大,而骨量相对较少,因此矫正原则为增加骨量或减少牙量来达到牙量骨量的协调而创造排齐牙齿的条件。
还有不明白的,点击免费咨询,或者拨打24小时贝臣美牙热线0591-88681777咨询,福州爱尚贝臣口腔门诊部有限公司医生为您解答!


