牙齿缺失治疗方法有哪些
发布日期:2017-01-04 次浏览
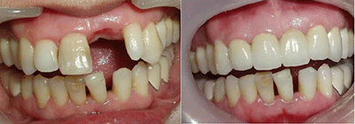
想要具体了解牙齿缺失治疗方法有哪些?
点击【在线咨询】直接问医生!方便!快捷!牙齿缺失,就需要通过医学的方式进行治疗,以恢复牙齿的形态和牙齿的功能,让口腔健康。但目前牙齿缺失治疗的方法有很多,不同的方法有不同的治疗效果。那么牙齿缺失治疗的方法到底有哪些呢?
直接与医院在线医师一对一通话,方便!快捷!了解详情就医指导。
方法一、活动义齿治疗
活动义齿是比较早的牙齿缺失方法,活动义齿能够治疗牙列和牙槽嵴任何部位的缺损,缺牙数目可以从缺失一颗牙到多颗甚至全口牙缺失,恢复牙齿原有的功能,并且其适应范围极广,价格也较为低廉。但活动义齿体积大,部件多,初戴者常常有异物感,发音困难,甚至引起恶心,且咀嚼效率不如固定义齿好。
点这里,直接预约医生!方便快捷!
方法二、固定义齿治疗
固定义齿与活动义齿相比,固定义齿更加的稳固牢靠,而且咀嚼功能良好,体积小,接近于原缺牙的大小,无异物感、舒适、美观。但固定义齿治疗需要磨损周围的健康邻牙,加重邻牙的负担,这样很有可能导致原本健康的牙齿松动脱落,牙齿治疗范围也比较窄。
方法三、种植牙治疗
种植牙相比固定义齿来说,更加的稳定牢固,且咀嚼功能更加强,体积小,无异物感,美观,舒适,逼真,且不用对邻牙进行磨损,可保证其他健康牙的完整性。
种植牙治疗牙齿缺失有以下优点
一、安全:全套数字化设备精确诊断定位,全程微创实施,安全无痛苦。
二、快捷:从检查、拔牙、植入人工牙根到种植牙,整个过程一次完成,将普通种植需要的3-6个月时间,缩短到一个小时左右,可以快速解决缺牙者的缺牙尴尬,实现“即刻种植牙,即刻恢复正常生活”的梦想。
三、稳固: “人工牙根”采用与人体相容性好的国际纯钛金属种植体制成,植入牙槽骨后形成良好稳定的骨结合,可以承受更大咀嚼力,确保种植牙坚固、稳定,咀嚼食物有味又有力。


