全口牙齿脱落,还能做种植牙吗
发布日期:2017-01-02 次浏览
想要具体了解全口牙齿脱落,还能做种植牙吗?
点击【在线咨询】直接问医生!方便!快捷!很多的老人会有牙齿缺失得很厉害,大部分的牙齿都没了,甚至是全口无牙,不能有效的进食和发挥咀嚼功能,子女经常比较担心:牙齿缺失一定程度上对于营养的摄入有影响,想要为父母做种植牙,但是全部牙齿掉光了,还能做吗?
直接与医院在线医师一对一通话,方便!快捷!了解详情就医指导。
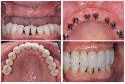
全口牙齿脱落,还能做种植牙吗?
点这里,直接预约医生!方便快捷!
医生介绍,一般情况下,老年人的全口无牙是可以做种植牙的,但是具体情况需要到医院口腔科做检查后,根据患者的身体情况和牙齿情况来决定是否可以做种植牙。如果身体能承受种植牙的手术,以及牙槽骨条件符合种植牙的条件就可以做。
长期全口牙缺失的患者,苦恼的问题是假牙戴不稳,特别是下颌义齿,一张口就容易脱落。如果使用人工种植牙术,根据颌骨情况,植入数枚或十几枚植体,可较满意地解决义齿的稳定问题,恢复和提高咀嚼功能。
种植牙毕竟与原来自身的牙齿有所不同,在使用时要加以爱护,平时所吃食物不可过硬,也不可过于用力,以免减少使用寿命。而且种植牙不能自行清洗的,一般每3个月左右就要找口腔科医生专业卸下进行清洗,可以自行清洗的也要每半年至1年到医院进行检查。
温馨提醒:种植牙修复可以适用于各种不同的牙齿缺失情况。单颗牙或者多颗牙缺失都可用。但也不是所有人都适合做,必须要全身情况良好,身心健康、骨骼和牙齿发育已定型者的成年人,如有出血性疾病、高血压、心脏病、糖尿病等全身疾病,必须在病情痊愈或者治疗稳定后,方可接受种植牙。
还有不明白的,点击免费咨询,或者拨打24小时贝臣美牙热线0591-88681777咨询,福州爱尚贝臣口腔门诊部有限公司医生为您解答!


