牙齿为什么容易变色
发布日期:2016-12-24 次浏览
想要具体了解牙齿为什么容易变色?
点击【在线咨询】直接问医生!方便!快捷!一口洁白的牙齿,能够帮助提升女性的形象,很多人都面临着牙齿发黄或者发黑的问题,尤其是女性,拥有一口亮丽洁白的牙齿非常重要,那么牙齿为什么要美白?医生介绍:牙齿表面色素和内部变色可能由以下一些因素引起:

1、自然地老化过程。
2、使用烟草(吸烟或咀嚼烟草)、喝咖啡、茶、可乐或红酒,及吃了有颜色的食物,如樱桃和蓝莓。
3、牙菌斑和牙结石沉积。
4、在牙齿发育过程中,摄入过多氟化物(每百万分水中氟化物多于两分),这使得牙齿看起来有些“斑纹”。
5、孩提时代牙齿有过损伤,曾用抗生素、四环素进行过治疗。
6、牙外伤也许会引起牙齿变棕、变灰或变黑。
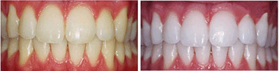
牙齿冷光美白是牙齿美白治疗术发展中的里程碑。在继承传统美白方式的基础上,引入了高科技冷光。冷光美白的药剂,除了漂白剂之外,还有感光催化剂。感光催化剂在冷光照射下,能够大大提高漂白剂的效率,使美白过程缩减到传统美白的1/10-1/20,只需要30分钟,就能完成全过程。30分钟,就能使齿色提升5-14个色阶,牙齿外观产生显着的变化。好的冷光美白,包含有釉面保护剂,不仅不会让牙齿受到伤害,还会强化牙釉质,提升牙齿的透明感和光泽度,视觉效果更自然。
还有不明白的,点击免费咨询,或者拨打24小时贝臣美牙热线0591-88681777咨询,福州爱尚贝臣口腔门诊部有限公司医生为您解答!

