福州地包天矫正要多少钱
发布日期:2016-12-23 次浏览
想要具体了解什么时候做牙齿矫正好?
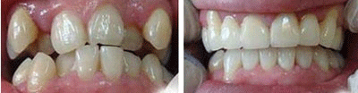
点击【在线咨询】直接问医生!方便!快捷!牙齿地包天可以说是生活中常见的牙齿畸形,很多人因为地包天畸形自信心受到了很大的打击,受到了别人的冷落。现在有了地包天矫正术,那些地包天患者看到了希望,地包天矫正的价格是人们关心的,今天我们就来看看福州地区地包天矫正要多少钱?
福州爱尚贝臣口腔门诊部有限公司医生在说地包天矫正多少钱很难给出具体数字,它要根据患者的自身情况和所选矫正方法来决定地包天矫正多少钱。影响地包天价格的因素与很多,比如说患者的年纪关系到矫正时间的长短,矫正术的选取,患者所在地区的经济水平。
直接与医院在线医师一对一通话,方便!快捷!了解详情就医指导。
与患者选择的矫正方法有关:福州爱尚贝臣口腔门诊部有限公司医生介绍地包天矫正方法有普通矫正、隐形矫正、美牙冠术,患者选择的方法不同其治疗费用也不同。
与患者的口腔情况有关:有的患者牙齿有无龋齿、牙周病等一些口腔疾病,需要将这些牙齿疾病治好才能矫正,不然会影响地包天矫正效果。地包天矫正的前期治疗包括检查、拍X光片、设计、分牙、粘托槽,有的可能需要拔牙。
点这里,直接预约医生!方便快捷!
与患者选择的医生水平有关:地包天矫正医生不仅要精通口腔的治疗,也要有较强的审美理念,要有正确的设计以及与精湛的实力密切配合。口腔术水平跟刚毕业的实习医生肯定不能比的,地包天价格自然要高。
与患者所在地区的经济水平有关,不同地区经济发展程度不同,消费水平也不一样,因此,地包天矫正费用也就存在差异。
对于福州地包天矫正多少钱,福州爱尚贝臣口腔门诊部有限公司建议在合适的年纪矫正价格低效果也好。儿童地包天要做到早发现早治疗,以免到后发展成严重的骨性地包天,这种地包天就需要通过外科手术的方法进行治疗,给自己小孩带来痛苦手术费用也会更高。
还有不明白的,点击免费咨询,或者拨打24小时贝臣美牙热线0591-88681777咨询,福州爱尚贝臣口腔门诊部有限公司医生为您解答!


