冷光美白牙齿会伤害牙龈
发布日期:2016-12-23 次浏览
想要具体了解冷光美白牙齿会伤害牙龈?
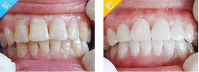
点击【在线咨询】直接问医生!方便!快捷!因为牙齿变色的问题,对个人的外在形象影响很大,因此大多数人遇到诸如黄黑牙、氟色素牙等等的情况都会及时进行牙齿美白。虽说牙齿美白术有很多,洗牙也有一定程度的美白作用,但是现在越来越多的青睐于冷光美白术。冷光牙齿美白作为新一代的牙齿美白术,具有公认的安全、无痛、治疗时间短、效果保持时间长的特点。不过也有人在做过冷光美白后,觉着十分伤害牙龈,到底会不会呢?
直接与医院在线医师一对一通话,方便!快捷!了解详情就医指导。
医生回答:答案是否定的。冷光美白选用的是安全的光源照射,这种光源发出的光不超过50℃,蓝色的冷光照射在皮肤上基本没有感觉,隔了紫外线和远红外线处理过之后,不会伤害到牙龈,而且也不会对人体或者皮肤有伤害。因此求美者可以放心的做冷光美白牙齿。
点这里,直接预约医生!方便快捷!
贝臣口腔医院冷光美白术原理:冷光牙齿美白术是将波长介于480-520nanometre之间的高强度蓝光,经由光纤传导,通过两片30多层镀膜的特殊光学镜片,再经过特殊光学处理,隔除一切有害的紫外线和红外线。
冷光美白它不仅可以去除牙齿表面的色素沉积,同时可进入牙齿深层达到脱色的效果。根据临床实验表明,使用冷光牙齿美白术,其效果可提高5-14个vita色阶,不仅优于同类产品,更超过家用牙套美白效果30%以上。操作过程仅需三十分钟,无副作用,美白效果可维持两年以上。
冷光牙齿美白的安全性怎么样
冷光美白在牙齿脱色上已安全使用数十年之久。在美白过程中不接触牙龈,对牙齿结构及珐琅质不会造成任何伤害。一次性、无刺激、无副作用的美白效果可持续两年以上。因此被公认是目前有效及安全的牙齿脱色美白术。
还有不明白的,点击免费咨询,或者拨打24小时贝臣美牙热线0591-88681777咨询,福州爱尚贝臣口腔门诊部有限公司医生为您解答!


