儿童牙齿畸形的危害有哪些
发布日期:2016-12-15 次浏览
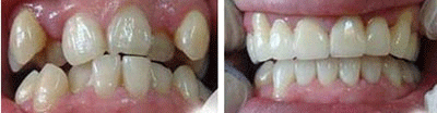
想要具体了解儿童牙齿畸形的危害有哪些?
点击【在线咨询】直接问医生!方便!快捷!每个孩子都是父母心中的宝贝,一旦孩子有个什么三病两痛的,家长都会十分急切。家长对孩子的身体健康是很重视的,但往往容易忽视了孩子的口腔健康,医生提醒,儿童牙齿畸形将直接影响孩子的身体健康,危害不容忽视,及时矫正是关键。那么,儿童牙齿畸形的危害有哪些呢?
直接与医院在线医师一对一通话,方便!快捷!了解详情就医指导。

儿童牙齿畸形的危害有哪些?
点这里,直接预约医生!方便快捷!
1、影响面容美观。
2、因为上下咬合关系不好,会影响吃饭,咀嚼功能下降,加重胃肠负担,从而影响身体健康。
3、有时候还会影响发音,使有些发音不准确,说话含糊不清。
4、牙齿不齐容易导致刷牙刷不干净,所以容易长龋齿和牙石,影响牙齿和牙周健康。
5、有些少年儿童因为牙齿长得不好看,受到同学或小伙伴的的嘲笑,因而变得自卑,影响心理健康。
医生推荐:隐形矫正
由于儿童正处于生理与心理发育的关键阶段,内心通常比较敏感脆弱,若家长担心孩子因为牙齿正畸中佩戴牙套,给孩子带来心理负担,不妨采用隐形矫正的方式,让整个牙齿正畸过程在旁人无法察觉的情况下悄然完成。
福州爱尚贝臣口腔门诊部有限公司采用先进的隐形矫正术,颠覆了传统的正畸方法,它以崭新的3D立体电脑,量身定制一系列近乎无法察觉的透明牙托来完成整个矫正过程,一改传统正畸过程中“钢丝铁牙”的局面,就好像佩戴隐形眼镜一样,光滑舒适,无异物感,不刺激口腔粘膜。不管是牙齿拥挤、有间隙,还是经传统正畸后又移位的牙齿,都能轻松舒适的得到矫正。
福州爱尚贝臣口腔门诊部有限公司矫正术针对错颌畸形的矫治目标是平衡、稳定和美观。致力于让顾客的牙、颌、颅面形态及功能取得新的平衡和协调关系,拥有整齐、咬合关系和谐的牙齿状态。福州爱尚贝臣口腔门诊部有限公司医师均有十年以上的牙科临床经验,对青少年和成年人错颌畸形能准确检查、分析、设计、诊断各种病例,制定正确有效的矫正计划和方案。
还有不明白的,点击免费咨询,或者拨打24小时贝臣美牙热线0591-88681777咨询,福州爱尚贝臣口腔门诊部有限公司医生为您解答!

