一般补牙要多少钱
发布日期:2016-12-10 次浏览
想要具体了解一般补牙要多少钱?
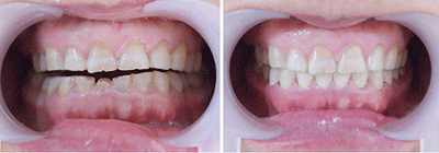
点击【在线咨询】直接问医生!方便!快捷!俗话说:“千里之堤毁于蚁穴。”发现小的漏洞就应该及时补救,其实牙齿也一样,补牙是一种用人造物质修补牙体缺损的方法,它能修复受损或被蛀的牙齿,让其回复正常状态,那么,一般补牙要多少钱?
直接与医院在线医师一对一通话,方便!快捷!了解详情就医指导。
一般补牙要多少钱?
点这里,直接预约医生!方便快捷!
关于一般补牙要多少钱,口腔医生介绍到,补牙的价格受很多因素的影响,通常和患者的牙齿缺损情况和材料的选择有关系,补牙的材料有很多种,有汞剂类、金属盐粘固粉类、树脂类等,患者应根据自身的情况选择相应的材料,不同患者选择不同的材料,在价格上自然会产生差异,因此一般补牙要多少钱没有一个固定的数字,是因人而异的。
此外,一般补牙要多少钱还和当地的消费水平相关,在北京、深圳这类一线城市的补牙价格通常要比其他地区高一些,但是在这些大城市的医疗术水平会更有保障一些,因此,患者应多从专业安全性角度考虑,而不是单纯的考虑价钱的因素,通常补牙价格在几百元左右,是消费者普遍能接受的。
福州爱尚贝臣口腔门诊部有限公司所有收费严格按照物价局的标准收取,明码标价,价格透明,实行一次性定价,承若不收取任何杂费,是您身边值得信赖的口腔医生!
医生推荐—3M纳米树脂补牙
福州爱尚贝臣口腔门诊部有限公司采用的3M纳米树脂补牙,有别于传统的树脂,其颗粒近似于球形,不粘器械,同时适合前牙和后牙龋齿的修复,边缘密合度高,具有杰出的抗压性、持久性和耐磨性,另外,3M纳米树脂补牙材料具有杰出的抛光性和抛光保持性,色泽逼真自然,能很好的恢复牙齿的自然外形,是目前广受推崇的一项补牙材料,价格在300元左右。
还有不明白的,点击免费咨询,或者拨打24小时贝臣美牙热线0591-88681777咨询,福州爱尚贝臣口腔门诊部有限公司医生为您解答!


