老年人全口牙缺失怎么办
发布日期:2016-12-10 次浏览
想要具体了解老年人全口牙缺失怎么办?
点击【在线咨询】直接问医生!方便!快捷!随着年龄的增长,父母的牙齿已经所剩无几,再美味的食物,他们也只能看看,依旧吃着米粥和软馒头。没有牙齿,做儿女的买再多的美食有什么用呢?牙齿是否整齐、健康直接影响着一个人的生活质量和身体健康,因此,牙缺失后均应及时镶补。那么,老年人全口牙缺失怎么办?
牙齿是人体重要的组成部分,有好的牙齿,才能有好的身体,我们每天都离不开牙齿,全口牙齿都缺失了,吃饭就成问题了,直接影响着人们的生活质量和身体健康。首先全口牙缺失,牙齿的咀嚼功能丧失,连累消化系统,容易出现消化系统疾病;口腔关节也受影响,使咬合关系紊乱;其次还会影响美观,造成面部变形,影响发音功能,说话漏风。
直接与医院在线医师一对一通话,方便!快捷!了解详情就医指导。

老年人全口牙缺失怎么办?
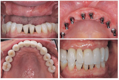
针对全口牙缺失,患者需要根据牙槽骨和口腔的具体情况,结合自身的经济条件选择牙齿修复方案。通常全口牙缺失的修复方案有两种,一种是种植牙修复,另一种是活动义齿修复。
1、种植牙
种植牙被口腔科医生认为是镶牙的理想选择,种植牙可以像真牙一样扎根在患者的口腔里,所以比传统镶牙更牢固,成功修复的种植牙咀嚼功能似真牙,能恢复天然牙95%以上的功能,堪称“人类的第三幅牙齿”。
种植牙是一项高精尖的口腔修复术,对医生的专业水平和设备条件都有相当高的要求,因此种植牙成本很高,价格也十分昂贵,如果患者符合种植牙修复的条件且经济宽裕可选择做种植牙。
2、活动义齿修复
传统活动义齿是全口牙缺失患者的廉价解决方案,在临床上已沿用多年,在种植牙术出现之前,传统活动义齿是牙列缺失患者的唯一选择。活动义齿是一种可以自行摘戴的修复体,它对基牙的条件要求不高,而且由于它的设计灵活多样,适用范围广泛,可以达到恢复咬合、修复牙列、改善面容、恢复发音的目的,还可防止缺牙两侧邻牙向缺牙部位倾斜,阻止对颌牙齿的伸长。
传统全口义齿的优点:
1、制作工艺简单
2、价格便宜
3、能部分恢复咀嚼功能
福州爱尚贝臣口腔门诊部有限公司专业的牙齿美容机构,十年专注牙齿健康问题,福州爱尚贝臣口腔门诊部有限公司运用欧美新无痛修复系统,治疗过程安全无痛、精密度高、固位力强、周期短,并采用全进口材质,具有优良的抗压、抗变形、抗腐蚀性能,生物相容性好,色泽天然逼真,是牙缺失患者镶牙的首选!
还有不明白的,点击免费咨询,或者拨打24小时贝臣美牙热线0591-88681777咨询,福州爱尚贝臣口腔门诊部有限公司医生为您解答!

