牙齿缺了一部分怎样修复
发布日期:2016-12-10 次浏览
想要具体了解牙齿缺了一部分怎样修复?
点击【在线咨询】直接问医生!方便!快捷!牙齿缺了一部分,感觉吃东西不像以前那么随心了,许多硬的东西不能吃也不敢吃,让人非常怀念牙齿完好无损时的日子!何不修复这缺损的牙齿呢?可牙齿缺了一部分怎样修复呢?为此,医生作出了详细的解答!

牙齿缺了一部分怎样修复?
点这里,直接预约医生!方便快捷!
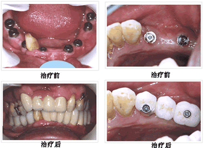
医生表示,牙齿外伤、龋坏、牙周疾病等,都可能造成牙齿缺损,有的牙齿整个缺失了,有的只缺失了一部分,但无论缺多缺少,都应该及时镶补,以恢复牙体的功能和形态。
关于牙齿缺失了一部分的修复问题,需要具体问题具体分析,通常情况下,医生会根据牙齿缺损不问的大小,采用不同的治疗方法进行牙体修复。
如果牙齿缺了较小的一部分,可直接进行人工材料的充填,即补牙治疗!
通过补牙,将缺损的那一部分补上,就可以令牙齿恢复正常的咀嚼功能。由于补牙材料所限,为了让填充物更好的修复牙齿,要尽量避免使用硬质食物,以免造成补牙材料的脱落。
如果牙齿缺损的比较严重,医生会建议给缺损的牙齿做个牙套,也就是人们常说的烤瓷牙冠修复!
相信老百姓对烤瓷牙修复并不陌生,成功修复的烤瓷牙,色素稳定,抗压、耐磨性能强,外观和自然牙很相像,能达到以假乱真的境界,同时烤瓷牙也是一种理想的修复体,是目前修复牙齿缺损广泛的方式。
还有不明白的,点击免费咨询,或者拨打24小时贝臣美牙热线0591-88681777咨询,福州爱尚贝臣口腔门诊部有限公司医生为您解答!

