牙齿里面黑怎么办
发布日期:2016-11-29 次浏览
想要具体了解牙齿里面黑怎么办?
点击【在线咨询】直接问医生!方便!快捷!近些有很多患者都在咨询“牙齿里面发黑是怎么回事”,由于患者没有详细说明情况和症状,再加上引起牙齿发黑的原因很多,所以,福州爱尚贝臣口腔门诊部有限公司医生将作出以下解答!
一、牙齿发黑的主要原因
直接与医院在线医师一对一通话,方便!快捷!了解详情就医指导。
1、外在着色:经常习惯性地饮用浓茶、咖啡、可乐等深色饮食或长期抽烟会因为深色素日积月累沉积在牙齿表面,造成牙齿变色。
2、内在着色:由于在怀孕期间或者孩子在发育期间服用了四环素药物,牙齿被四环素药物刺激,造成牙齿硬组织的矿化抑制,导致牙齿出现黑斑。
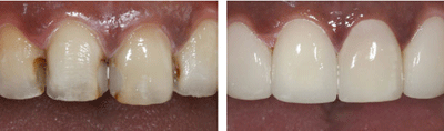
3、龋齿:如果人们不注意维护口腔清洁卫生,导致口腔菌斑繁生,而菌斑会酸蚀牙齿的珐琅质,进而使牙齿形成龋洞,造成牙齿发黑。

二、牙齿发黑的治疗手段
不同原因引起的牙齿发黑有不同的治疗手段,当然牙齿发黑或病症的程度不同治疗手段也会有所不同,所以患者应到医院检查后再选择治疗方式。
点击咨询在线专家,我是哪种情况?
1、由内外在原因引起的牙齿发黑。可以通过洁牙或牙齿美白来改变牙齿牙齿看起来亮白炫丽。
冷光美白是一项正流行于欧美的新兴的牙齿美白术,它将高强度彩光定点照射,它不仅可以去除牙齿表面的色素沉积,及深层所附着的色素,美白效果持久有效,仅需短短的30分钟,即可让您拥有一口润白亮泽的牙齿。
点击咨询,冷光美白的优势!
2、由龋齿引起的牙齿发黑。龋齿分为浅龋、中龋、深龋,龋齿程度不同,治疗方式也不一样。
(1)浅龋:浅龋只需要用专业的牙科器械将患牙表面一层磨出即可。如果是小孩蛀牙,可在磨出患牙表面后对大牙进行窝沟封闭以免再次感染蛀牙。
点击咨询,什么是窝沟封闭?
(2)中龋:治疗中龋较好的方法就是运用专业的补牙材料对牙洞进行填充,中龋及时治疗的效果好,复发少。
(3)深龋:重度蛀牙伴随有口腔疾病,首先要对口腔疾病进行治疗,再对患牙进行根管治疗,清除根管内的坏死物质和消毒患牙,而后在进行补牙材料的填充。

