牙齿美白后需要怎么护理
发布日期:2016-11-27 次浏览
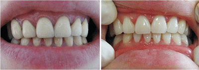
想要具体了解牙齿美白后需要怎么护理?
点击【在线咨询】直接问医生!方便!快捷!许多爱美人士在美白牙齿术后都没有好好的进行保养,导致牙齿美白后的效果没能持续多长时间,这种情况给许多朋友带来了一定的困扰,那么牙齿美白后应该如何做好护理工作呢?
直接与医院在线医师一对一通话,方便!快捷!了解详情就医指导。
医生点评:
点这里,直接预约医生!方便快捷!
牙齿美白的术后护理是决定牙齿美白效果的直接因素,所以想要保持美白效果的朋友应该多加了解一些术后护理方法,为了更好的帮助到广大朋友,医生将在此讲解牙齿美白后的护理方法。
1.注意清洁:牙齿的清洁可有效预防牙齿的再着色,你可以在医生的指导下进一步使用美白缓冲剂和氟化剂使牙齿更坚固。另外,你需要在早中晚要注意刷牙漱口,保持口腔清洁。此外,定期到医院复诊,也可清除牙齿中的外源性色素沉着,使美白疗效更持久。
2.注意饮食:牙齿激光美白后一天内,牙齿易染色,你要注意不要喝咖啡、可乐等饮料,也不要食用深色食物。尤其是吸烟对牙色的维护影响更大,所以你更要注意不要吸烟。
推荐美白术:
福州爱尚贝臣口腔门诊部有限公司所采用的“冷光美白术”是一项正流行于欧美的新兴的牙齿美白术,它将高强度冷光定点照射,它不仅可以去除牙齿表面的色素沉积,及深层所附着的色素,美白效果持久有效,仅需短短的30分钟,即可让您拥有一口润白亮泽的牙齿。具有持久、自然、快速、专业、安全等五大优势。
还有不明白的,点击免费咨询,或者拨打24小时贝臣美牙热线0591-88681777咨询,福州爱尚贝臣口腔门诊部有限公司医生为您解答!


