美牙冠是什么
发布日期:2016-11-27 次浏览
想要具体了解美牙冠是什么?
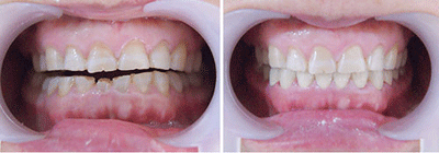
点击【在线咨询】直接问医生!方便!快捷!美牙冠为近年由欧美引入的新兴美齿术,针对成人,对龅牙、排列歪斜牙、畸形牙以及色素牙,可彻底、快速矫正修复,无需拔牙,全程无痛。生物相容性好,牙龈不会出现黑线,只需7天还你洁白整齐牙齿,终生美齿。
直接与医院在线医师一对一通话,方便!快捷!了解详情就医指导。
美牙冠和烤瓷牙可以说是牙齿美容中的“双胞胎兄弟”,息息相关,都是“美”的使者,但又有着一些区别。通常来说,烤瓷牙的作用主要是用来对患者的畸形牙齿进行改良端正,而美牙冠的作用是在牙齿矫正的基础上对牙齿进一步美化。
美牙冠在不损伤牙齿、牙龈的前提下根据牙槽骨的形态对牙齿做修整。首先适度调整歪斜的牙齿,精细打磨凸出部位1-2毫米;然后在原牙外包以整齐洁白的美牙冠,保护原牙,一口整齐亮白的牙齿,就大功告成了,且不着痕迹。明星般的皓齿,你也可以轻松拥有。
点这里,直接预约医生!方便快捷!
德国美牙冠是目前人们广泛接受,安全的美齿方式,对龅牙、牙列不齐、四环素牙、氟斑牙、变色牙、锥形牙、牙釉质发育不全、牙缺失、龋洞或牙体缺损等都具有治疗和美容修复功能,可谓治齿、矫齿、美齿一举三得。
福州爱尚贝臣口腔门诊部有限公司医生会根据每一位顾客的脸型、肤色、唇形、牙齿形态、排列状态等亲自进行个性化综合设计,不仅考虑咬合关系,更注重兼顾整口牙齿的美观,面部的整体协调,辅以引进的全智能数字化口腔成像检测系统等先进设备,终设计并完成符合美学、医学、材料学、口腔力学的理想美牙冠。
还有不明白的,点击免费咨询,或者拨打24小时贝臣美牙热线0591-88681777咨询,福州爱尚贝臣口腔门诊部有限公司医生为您解答!


