氟斑牙美白需要多少钱
发布日期:2016-11-27 次浏览
想要具体了解氟斑牙美白需要多少钱?
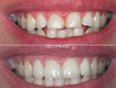
点击【在线咨询】直接问医生!方便!快捷!氟斑牙是一种与饮用水中氟含量过高有关的牙齿疾病。氟斑牙又叫斑釉。儿童在七、八岁前牙齿发育钙化期如饮用含氟量过高的水可能危害牙胚的造釉细胞,从而导致牙釉质发育不全。
然而美白氟斑牙的价格不能一概而论,因为不同的因素导致的价格就不一样,那么那些原因导致了价格上的偏差呢?福州爱尚贝臣口腔门诊部有限公司医生将会为大家进行详细解答。

影响美白氟斑牙的价格是什么?
1.要看所在地当地的物价水平。每个地区都是不一样的,物价水平高的地方,牙齿美白的价格会相对高些,而物价水平低的地方牙齿美白价格会低些。
2.要看医生的资质和门诊部的知名度。因为牙齿美白的效果也是有差别的,牙齿美白也没有统一的价格,不同地方不同门诊部的价格都不同,所以针对牙齿美白的价格需要综合考虑的。
3.要看所选用的牙齿美白的方法。不同的美白方法,牙齿美白的价格是不一样的。如今牙齿美白的方法有很多,如常见的冷光美白,使用美牙冠美白等等,这些牙齿美白的方法都是不同的,有着不同的效果,当然价格也就不一样。
4.跟牙齿的情况有关。牙齿变色的现象都是不同的,变色的原因也不同,氟斑牙分为轻度、中度、重度三种情况,所以在治疗的时候就要根据每个求美者的牙齿综合情况来选择适合的治疗方式。从而可以让牙齿得到更好的改变,也可以让你对自己更有自信,后根据你所选择的治疗方式来确定牙齿美白的价格。
点这里,直接预约医生!方便快捷!
福州爱尚贝臣口腔门诊部有限公司引进了“冷光美白术”进行牙齿美白
福州爱尚贝臣口腔门诊部有限公司冷光美白术是一项正流行于欧美的新兴的牙齿美白术,它将高强度冷光定点照射,它不仅可以去除牙齿表面的色素沉积,及深层所附着的色素,美白效果持久有效,仅需短短的30分钟,即可让您拥有一口润白亮泽的牙齿。具有持久、自然、快速、专业、安全等五大优势。
还有不明白的,点击免费咨询,或者拨打24小时贝臣美牙热线0591-88681777咨询,福州爱尚贝臣口腔门诊部有限公司医生为您解答!

