氟斑牙是由什么形成的
发布日期:2016-11-27 次浏览
想要具体了解氟斑牙是由什么形成的?
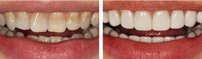
点击【在线咨询】直接问医生!方便!快捷!有很多人都存在不同层度的黄牙和黑牙,而这些黄牙黑牙的问题,大多是由于摄入过多的氟元素,形成的氟斑牙。为了更好的帮助到更多患有氟斑牙的患者,现在福州爱尚贝臣口腔门诊部有限公司医生在此为大家详细解答造成氟斑牙的因素。
氟斑牙是一种与饮用水中氟含量过高有关的牙齿疾病,造成氟斑牙的形成大多数是跟我们日常生活中饮用水的质量息息相关的,不同程度的氟斑牙形成表现也各不相同。
直接与医院在线医师一对一通话,方便!快捷!了解详情就医指导。
1.儿童在七、八岁前牙齿发育钙化期,如果饮用含氟量过高的水可能危害牙胚的造釉细胞,从而导致釉质发育不全,出现轻度氟中毒现象,严重的氟中毒可以表现出骨骼发生氟 性的骨硬化(氟骨症),从而导致不同程度的氟斑牙的形成。
2.与一般的釉质发育不全不同,釉质发育不全的着色和缺损多表现出成组对称的牙齿上。而氟斑牙可表现在多数牙上,以上颌前牙多见,而且患氟斑牙的人通常在7-8岁前在高氟区生活过,这些孩子即使以后迁居非高氟区,由于牙齿的钙化障碍已经形成,恒牙萌出后仍可出现氟斑牙。
3.轻型氟斑牙也称白垩型,表现为釉质表面出现像白色粉笔样的不透明的斑块即白垩状斑块,但釉质仍有硬度和光泽;中度氟斑牙又称着色型,牙釉质出现黄褐色或暗棕色斑块,以上前牙为明显,牙釉质仍光滑坚硬;重度氟斑牙也称缺损型,多数牙甚至全口牙出现黄褐色斑块,同时有线状、点状或窝沟状缺损,凹陷内有较深的染色,牙面失去光泽。
温馨提示:氟斑牙多发生于恒牙,因为乳牙釉质形成和钙化,大多在胚胎和哺乳期,而胎盘对氟有一定限制作用,但如果氟摄入量过多,超过其限量程度仍可导致乳牙氟斑牙的形成。
还有不明白的,点击免费咨询,或者拨打24小时贝臣美牙热线0591-88681777咨询,福州爱尚贝臣口腔门诊部有限公司医生为您解答!


