四环素牙会不会遗传
发布日期:2016-11-23 次浏览
想要具体了解四环素牙会不会遗传?
点击【在线咨询】直接问医生!方便!快捷!对于四环素牙会不会遗传是一个困扰母亲的重要因素,由于工作原因很多女性朋友为了抗压服用了一些含四环素的药物,时间一长很多女性朋友发现了患有四环素牙的情况,所以很多女性朋友非常担心自己怀孕了是不是会遗传给肚中的胎儿。
直接与医院在线医师一对一通话,方便!快捷!了解详情就医指导。

医生点评:
点这里,直接预约医生!方便快捷!
牙齿发育时,牙釉质和牙本质在一层基底膜的两侧同时开始形成,若此时服用了四环素类药物,药物进入体内后就在牙本质和牙釉质中形成黄色层,且牙本质中的沉积要比在釉质中高4倍。又由于黄色层呈波浪形,似帽状,大致与牙的外形一致.所以整个牙齿均有颜色的改变。
四环素牙初牙齿呈黄色,在阳光照射下呈现明亮的黄色荧光,以后逐渐由黄色变成棕褐色或深灰色,这种颜色转变是缓慢进行的,阳光对它有促进作用。此外,四环素类药物不仅可以影响婴幼儿时期发育的恒牙牙色,而且孕妇若服用此类药物,还可以通过胎盘影响胎儿期发育的乳牙牙色。所以孕妇朋友在怀孕期间不服用含有四环素的药物是不会影响到腹中的胎儿的。
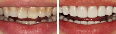
如何治疗四环素牙呢?
福州爱尚贝臣口腔门诊部有限公司采用的“冷光美白术”是一项正流行于欧美的新兴的牙齿美白术,它将高强度冷光定点照射,它不仅可以去除牙齿表面的色素沉积,及深层所附着的色素,美白效果持久有效,仅需短短的30分钟,即可让您拥有一口润白亮泽的牙齿。具有持久、自然、快速、专业、安全等五大优势。
还有不明白的,点击免费咨询,或者拨打24小时贝臣美牙热线0591-88681777咨询,福州爱尚贝臣口腔门诊部有限公司医生为您解答!

