四环素牙美白采用什么方法好
发布日期:2016-11-23 次浏览
想要具体了解四环素牙美白采用什么方法好?
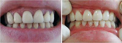
点击【在线咨询】直接问医生!方便!快捷!相信很多患者朋友对四环素牙都不怎么了解,四环素牙是因为幼儿时期服用了四环素药物而导致的牙齿变色问题,四环素牙呈黄色,在阳光照射下则呈现明亮的黄色荧光,导致牙齿变成棕黄色、灰褐色或更深,严重的还会使牙釉质发育不全,牙齿有裂纹、残缺,牙齿表面坑坑洼洼非常难看。
爱美人士都想拥有一口洁白亮丽的牙齿,不过四环素牙会让人们的牙齿着色,从而影响牙齿的美观给广大爱美者带来很大的心理压力,所以说从美观上来说危害还是挺大的。但是四环素牙是内源性的牙齿染色,牙齿通过普通的美白基本上没效果的,美白牙膏无任何效果。
直接与医院在线医师一对一通话,方便!快捷!了解详情就医指导。
四环素牙齿美白方法有哪些呢?
医生介绍,因为四环素牙的患病程度是不同的,那么美白方法也是不一样的。对于轻中度的四环素牙有效的美白方法是“冷光美白术”。
冷光美白牙齿利用高科技特殊冷光术,将有机色素由碳环结构美白至亲水性无色素结构,而达到美白牙齿的效果。该可在短短的三十分钟内快速洁白因各种因素变黄、变黑的牙齿。
“冷光美白术”的优势有哪些?
点这里,直接预约医生!方便快捷!
冷光美白由于采用的是低温冷光,不产生热效应,完全避免了操作过程中牙神经的不适,所以在美白过程中牙齿不会有酸胀感觉;另外,冷光美白是在牙齿全面涂抹昂贵、无害的美白材料之後,全口牙齿一次照射,所以大大缩短了美白时间,只需30分钟,就可以迅速美白全口牙齿。由於其美白时间短,感觉轻松,美白效果明显,价格适当而深受爱美人士欢迎。


