治疗四环素牙就选全瓷牙
发布日期:2016-11-23 次浏览
想要具体了解治疗四环素牙就选全瓷牙?
点击【在线咨询】直接问医生!方便!快捷!由于很多人对于口腔健康不够重视,后导致口腔问题开始滋生蔓延,也严重影响着人们的生活,如今全瓷牙的出现彻底解决了我们牙齿的美观问题,随着人们对修复牙齿美观的要求越来越高,使得烤瓷牙诞生了一位家族成员——全瓷牙。
直接与医院在线医师一对一通话,方便!快捷!了解详情就医指导。

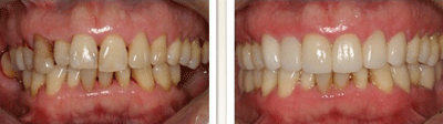
全瓷牙具有新型复合生物体强力瓷牙透明度好、色泽极佳、形态更逼真,且坚硬不易崩瓷的优点,成了大家的宠儿。那么全瓷牙可以解决四环素牙吗?
全瓷牙--治疗四环素牙更有效
点这里,直接预约医生!方便快捷!
全瓷牙在口腔内适应症很广泛,可将严重的四环素牙、 氟斑牙、畸形牙、变色牙及各种可以通过全瓷来修复,是目前质量较好的一种牙列缺损修复方法。全瓷烤瓷牙突出的特点是外观逼真,采用先进的全瓷材料制作,不含任何金属,与空气水或者其他电解物接触时会迅速产生微氧化膜,有效避免细菌再生。
全瓷牙--治疗四环素牙的优势
全瓷牙里外都是瓷体,通透性好,对光线的反射更接近天然牙。其色泽、亮度、自然程度都要比普通烤瓷牙更接近于真牙,而且色泽显得特别有活性。全瓷修复术还可以根据每位美齿患者自身条件和需求进行选择,达到个性化美齿的效果。
全瓷牙生物相容性好,可完全排除过敏反应。全瓷牙由于内冠是用瓷体材料,无金属,故牙龈边缘无黑线,无厚重感,无牙龈红肿出血现象,更加不用担心不良金属离子渗出影响健康。很多人特别是女性对金属瓷冠中的金属有过敏反应,所以许多患者出于这方面的考虑,更愿意选择全瓷冠修复。
还有不明白的,点击免费咨询,或者拨打24小时贝臣美牙热线0591-88681777咨询,福州爱尚贝臣口腔门诊部有限公司医生为您解答!

