如何美白四环素牙呢
发布日期:2016-11-23 次浏览
想要具体了解如何美白四环素牙呢?
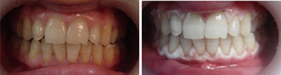
点击【在线咨询】直接问医生!方便!快捷!许多儿童都曾服用过四环素药物,致使正在生长发育中的牙齿吸收了这类药物,这些药物在牙齿上留下的代谢产物,沉积在牙本质小管内,便使牙齿呈灰、黄或棕色改变,因而形成四环素牙。

医生指出:四环素是广谱抗生素,许多细菌引起的炎症,用四环素类药物治疗效果好。在六七十年代,四环素类药物被当作消炎的首选药物,应用很广泛。四环素牙是医源性疾病。由于四环素类药物对牙齿有严重影响,现在已经不允许儿童使用,以防止四环素牙的发生。
有很多朋友认为简单的洗牙就可以清楚四环素牙的情况,其实不然,因为四环素牙分布在牙齿的深层部位,洗牙的时候无法清洗,而且洗牙只能简单的清楚到牙齿表面的污迹,不能达到深层次的洁牙。那么采用什么方法才能有效的清理深层次的牙垢呢?
福州爱尚贝臣口腔门诊部有限公司引进“冷光美白术”来进行牙齿美白
点这里,直接预约医生!方便快捷!
一般外因性色素牙(咖啡、茶渍、烟渍沉积、槟榔染色)、中轻度四环素牙、氟斑牙、药物性变色牙、遗传性黄牙等外源性和内源性牙齿颜色难看问题。医学美牙设计专家为每一位牙齿美容顾客量身设计符和医疗美学标准的美牙方案,让每一颗牙齿都像艺术品一样宛如天成,坚固耐用。
冷光美白适应人群”优秀的材料再结合精雕细琢的工艺,美容冠的外表逼真美观、坚固耐磨,色泽近于天然牙,生物相容性良好,不刺激口腔组织,既能恢复牙齿功能,又有美容功效,边缘密合性大大优于传统的修复体,可谓是美齿矫齿治齿,一举三得。
现在这种美牙风尚来到中国,首降重庆诚嘉口腔美容专科,吹响了 “全瓷牙时代”向“美容冠时代”飞跃的号角。 健康、舒适、和谐、个性的牙齿美学观念,集牙齿修复美学、牙齿正畸美学、牙齿美白科技、牙齿美容学说于一体,以恢复牙齿的健康美丽为前提,全程安全无菌、舒适无痛。
适应人群:龅牙、牙列不齐、牙齿稀疏、畸形牙、四环素牙、氟斑牙、变色牙、黄黑牙、牙齿缺失、烤瓷牙失败等牙齿问题。

