四环素牙怎么回事?如何美白?
发布日期:2016-11-23 次浏览
想要具体了解四环素牙怎么回事?如何美白?
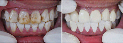
点击【在线咨询】直接问医生!方便!快捷!四环素牙是一种由于儿童期服用了四环素类药物而导致的牙体组织疾病,主要表现为牙齿着色(黄色、棕褐色或深灰色)和牙釉质发育不全(牙体不同程度的缺损)。四环素牙给人的形象带来不利影响,在一定程度上还会影响到社交。
引起四环素牙的因素大概有以下几种:服用四环素族药物,如去除甲金霉素呈铜黄,土霉素呈柠檬黄色;四环素在牙本质内,因结合部位的深溢于言表而使牙本质着色的程度有所不同,着色带越靠近釉牙本质界,越易着色;与釉质本身的结构有关,在严重釉质发育不全、釉质完全丧失时,则着色的牙本质明显外露;初呈黄色,在阳光照射下则呈现明亮的黄色荧光,以后逐渐由黄色变成检字法褐色或深灰色。
直接与医院在线医师一对一通话,方便!快捷!了解详情就医指导。
一、四环素牙按不同的着色程度分为轻度、中度和重度四环素牙
轻度四环素牙:也就是四环素对牙齿的影响很轻,症状轻微,表现为白垩色不透明区至少累及患牙牙面的一半,牙齿无光泽,牙体肥厚。有时在尖牙和双尖牙及磨牙的咀嚼磨损区可见薄的白色层已被磨掉,显露出正常牙釉质的浅蓝色色调。
中度四环素牙:中度四环素牙有明显的磨损,唇颊面一般有微小的窝状缺损。有的中度四环素牙变现为棕色。
重度四环素牙:重度四环素牙明显的一个特征就是伴有严重的牙釉质发育不全,牙齿被破坏严重,牙面有广泛着色,其颜色可自棕色至接近黑色不等,牙齿常呈侵蚀样外观。
二、四环素牙如何美白牙齿?
点这里,直接预约医生!方便快捷!
四环素牙不单会影响外在形象的美观,同时也可能引起釉质发育不全,釉质发育不全是牙齿结构异常的一种疾病,长期在四环素牙的影响下也会对心理造成负担,影响心理的健康造成人的自卑感。医生指出,目前四环素牙的美白方法有很多,关键是到正规的口腔医院选择适合自己的美牙方案。
三、福州爱尚贝臣口腔门诊部有限公司给四环素牙美白 浪漫白色陪伴您
仿生美容冠术:仿生美容冠术是源自德国,专为重庆人量齿打造的牙齿美容术,它将“人脸美学”与“牙齿矫正和修复充分融合。根据求美者的脸型、唇色、牙齿排列、牙色、牙形乃至牙弓弧度、职业、爱好等,量身定制出适合顾客的个性化美牙方案。让每颗牙齿都衬托出求美者原有气质,让你因“齿”而变得靓丽与自信。
温馨提醒:牙齿美白后,需要定期进行口腔检查。对于已经进行牙齿美容修复的患牙,也需定期检查,必要时进行修复体抛光处理,及时去除影响口腔美观的不良因素。
还有不明白的,点击免费咨询,或者拨打24小时贝臣美牙热线0591-88681777咨询,福州爱尚贝臣口腔门诊部有限公司医生为您解答!


