四环素牙是怎么形成的
发布日期:2016-11-23 次浏览
想要具体了解四环素牙是怎么形成的?
点击【在线咨询】直接问医生!方便!快捷!在生活中很多人都会发现他们的牙齿不再像以前那样晶莹光亮、洁白如玉,有的牙齿发黄、变灰,甚至有的伴有实质缺损,其实这就是人们所说的四环素牙,四环素牙初呈黄色,在阳光照射下则呈现明亮的黄色荧光,以后逐渐由黄色变成检字法褐色或深灰色。那么,这究竟是什么原因造成的?
直接与医院在线医师一对一通话,方便!快捷!了解详情就医指导。
1、造成四环素牙的原因
四环素牙主要的发病病因是在牙的发育矿化期服用四环素族药物,可被结合到牙组织内,使牙着色。此外,四环素类药物不仅可以影响婴幼儿时期发育的恒牙牙色,而且孕妇若服用此类药物,还可以通过胎盘影响胎儿期发育的乳牙牙色。
点击咨询,怎样避免四环素牙的发生?
2、四环素牙的危害
医生提示:四环素牙的危害极大,不仅会影响牙色和美观度,还会导致牙釉质发育不全或使牙釉质出现缺损,甚至还会引发牙齿龋病。所以在四环素牙早期的时候就应尽快到正规的口腔医院进行检查治疗。
点击咨询,了解四环素牙其他危害。
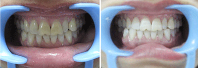
3、四环素牙的治疗方法
冷光美白是福州爱尚贝臣口腔门诊部有限公司特别引进的牙齿美白术,运用国际先进美白术,通过特殊处理的高强蓝光讲美白剂注入牙齿表面,从而得到美白效果。冷光美白术牙齿美白时间短且无任何不良反映,是大众选择多的一款美白术。
烤瓷牙运用欧洲先进牙科显微治疗镜术,并且采用高密合度、高坚硬度、高质量的国际高端材质,具有色泽逼真、高效咀嚼力、颈缘100%密合等优点。


