四环素牙变白方法
发布日期:2016-11-23 次浏览
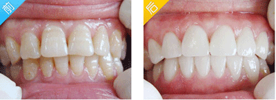
想要具体了解四环素牙变白方法?
点击【在线咨询】直接问医生!方便!快捷!在日常生活中造成牙齿变黄的主要原因就是因为四环素牙所造成的,四环素牙的形成还是因为服用了含有四环素的药物过多或时间长而导致的,服用四环素药物过多就会形成四环素牙造成牙齿发黄的情况。

医师点评:
四环素牙是指牙釉质发育时期或者是哺乳期、受到四环素族类药物的影响而产生的牙齿发黄现象。四环素牙非常的影响患者的美观,妨碍患者交流,有可能会产生一定的心理压力,所以去除四环素牙非常重要。
如何美白四环素牙呢?
点这里,直接预约医生!方便快捷!
在临床上美白四环素牙的方法有很多,如:皓齿美白、冷光美白、彩光美白、喷砂洁牙美白法等都是可以进行四环素牙美白的,采用哪种美白方法还是看患者的具体选择。
推荐治疗术:
福州爱尚贝臣口腔门诊部有限公司引进的“冷光美白术”是一项正流行于欧美的新兴的牙齿美白术,它将高强度冷光定点照射,它不仅可以去除牙齿表面的色素沉积,及深层所附着的色素,美白效果持久有效,仅需短短的30分钟,即可让您拥有一口润白亮泽的牙齿。具有持久、自然、快速、专业、安全等五大优势。

