冷光美白有年龄限制吗
发布日期:2016-11-23 次浏览
想要具体了解冷光美白有年龄限制吗?
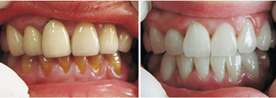
点击【在线咨询】直接问医生!方便!快捷!近年来随着美白牙齿的流行冷光美白成为了爱美人士的牙齿美白方案,冷光美白牙是现在流行一种牙齿美白的方式,但是很多朋友关注冷光美白问题的同时,也会关注冷光美白是否有年龄的限制。

医生点评:
点这里,直接预约医生!方便快捷!
未满16周岁,孕妇,或是牙齿有炎症的人不建议做,美白牙齿的时间短,30到45分钟就能让牙齿变得洁白。冷光美白术很安全,美白剂不会伤害牙龈和牙神经,能够治疗各种原因出现的牙齿变色情况,并且保持的时间比较长久。
冷光美白是一种非常安全的牙齿美白术,由于采用的是低温冷光,不产生热效应,从而有效地避免了操作过程中牙神经的不适,所以牙齿美白后不会有酸胀感;另外,冷光美白前,会先在牙齿上涂抹一层无害的美白材料,然后再经过全口牙齿的一次照射就能达到美白的效果。整个过程只需要30分钟,就能实现全口牙齿美白的目的。因为冷光牙齿美白的时间短,效果明显,价格适当,因此颇受广大爱美人士的欢迎。
推荐治疗术:
直接与医院在线医师一对一通话,方便!快捷!了解详情就医指导。
福州爱尚贝臣口腔门诊部有限公司引进的“冷光美白术”是一项正流行于欧美的新兴的牙齿美白术,它将高强度冷光定点照射,它不仅可以去除牙齿表面的色素沉积,及深层所附着的色素,美白效果持久有效,仅需短短的30分钟,即可让您拥有一口润白亮泽的牙齿。具有持久、自然、快速、专业、安全等五大优势。

