矫正拔牙的危害
发布日期:2016-11-20 次浏览
想要具体了解矫正拔牙的危害?
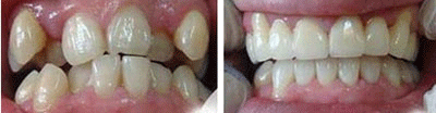
点击【在线咨询】直接问医生!方便!快捷!龅牙、虎牙、牙齿不齐等畸形问题不仅影响我们的美丽,还会对口腔健康造成一些列危害。很多人会通过牙齿矫正来改善,但是有些患者在正畸前会需要进行正畸拔牙,许多朋友也会担心拔牙会不会有后遗症等问题,那么,矫正拔牙会有危害吗?
医生介绍:不是所有的正畸患者都需要拔牙,正畸拔牙只是正对一部分情况特殊的朋友。拔牙的目的是为了牙齿矫正的顺利进行,以达到矫正牙齿的效果,一般来说牙齿矫正拔牙的危害是没有的,只要选择正规、专业的医院进行,其设备、实力水平及消毒等各方面都达到国际卫生组织标准,可有效避免牙齿矫正拔牙的危害发生。
直接与医院在线医师一对一通话,方便!快捷!了解详情就医指导。

一、矫正前,为什么要拔牙
(1) 利用拔牙间隙排齐拥挤的牙齿。拥挤度在II-III度的患者拔牙的可能性较大。
(2) 利用拔牙间隙调整后牙咬合关系,使后牙尖窝交错,咬合接触面积大,达到咀嚼效率。
(3) 利用拔牙间隙将前牙内收,改善牙弓突度,改善面型。比如有的人嘴唇比较前突,经过拔牙矫正后嘴唇的突度会变小,面型变的更加美观。
二、多种牙齿矫正方式 安全有效更舒适
点这里,直接预约医生!方便快捷!
3M自锁托槽矫正
自锁托槽矫正,该水平利用先进的自锁装置并结合三维数字设计及人体工程设计,使整个矫正过程大幅度缩短,更是减少了很多传统矫正会产生的不必要的口腔伤害。
自锁托槽矫正多少钱?
隐适美隐形矫正
隐适美由透明的高分子材料制造,外表近乎透明,厚度更少于1mm,戴上后紧贴牙齿,完全隐形于唇齿之间,就算知道您正在做牙齿矫正的朋友也很难看出您佩戴了隐适美,让您的牙齿在“无形”中完美矫正。

