补牙的几种方法
发布日期:2016-11-12 次浏览
想要具体了解补牙的几种方法?
点击【在线咨询】直接问医生!方便!快捷!牙齿缺损,不仅会让笑容看起来不美,而因为蛀牙导致的牙齿缺损,长期不治疗,容易损伤到牙髓,引起牙髓炎,影响日常的饮食咀嚼。通过补牙的方式可以改善牙齿缺损问题,那么,补牙有几种方法呢?
直接与医院在线医师一对一通话,方便!快捷!了解详情就医指导。
填充修复补牙:纳米树脂填充
填充修复其实就是纳米树脂补牙,纳米树脂补牙将牙齿的抛光性和持久性完美结合,持久耐用。当牙齿受到磨损时候,牙齿只是磨损到一个纳米级的颗粒,不会像传统混合微填充材料那样丢失一个较大的颗粒。纳米树脂补牙适合因为龋齿、楔状缺损、外伤导致的牙体缺损情况。

冠体保护补牙:美容冠
美容冠补牙适合牙体折裂人群。美容冠是在不损伤牙齿、牙龈的前提下根据牙槽骨的形态对牙齿做修整。首先适度调整需修复的牙齿,精细打磨凸出部位1~2毫米,然后在原牙外包以整齐洁白的“美容冠”保护原牙,只需短短7天就可以打造整洁、亮白、完整的牙齿。
文章看累了!点这里直接预约医生!方便快捷!

牙缺损补牙:种植牙
种植牙就是将人体骨质兼容性极高的纯钛金属植体植入牙槽骨内,再量身定制牙冠。种植牙适合单颗牙齿缺损、多颗牙齿缺失、全口牙齿缺失的人群做补牙。种植牙补牙微创无痛、效果稳定,和人体组织的相容性高。

补牙的优势
点这里,直接预约医生!方便快捷!
1、材料品质保障
贝臣从欧美引进高端的美齿材料,拥有品质保障卡,给患者放心的保障。
2、量身定制补牙方案
补牙方案都是根据患者牙齿线条、量感、质感、光感、轮廓、色彩、比例等,在显微镜下进行精细操作。
3、微创无痛
补牙全程由智能电脑控制,补牙一旦有疼痛感,可以随时调节镇痛。补牙采用高性能补牙材料结合化学粘贴无需制备固位洞型,计算机可以控制伤口大小偏差,加上精密的口腔仪器操作消毒完善,不会感染发炎,出血量更可以忽略不计。

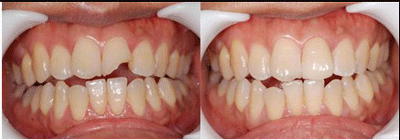
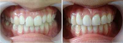
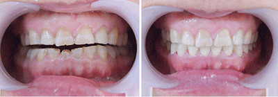
补牙前后效果图
补牙有几种方法?通过上面医师的介绍,相信你应该知道答案了吧。如果你对补牙还有任何疑问,可以在线咨询医师,医师随时在线为你做解答,你的美丽就是贝臣的荣誉,医师愿意为你的美丽付出一百分的努力。
还有不明白的,点击免费咨询,或者拨打24小时贝臣美牙热线0591-88681777咨询,福州爱尚贝臣口腔门诊部有限公司医生为您解答!
