牙齿磨损了怎么办
发布日期:2016-11-12 次浏览
想要具体了解牙齿磨损了怎么办?
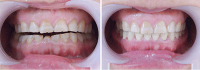
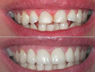
点击【在线咨询】直接问医生!方便!快捷!牙齿磨损是一种常见的口腔症状,那么,哪些牙齿磨损需要做好及时的治疗呢?牙齿磨损分为不同的几种情况,主要有牙齿不均匀磨损、牙齿均匀重度磨损等牙齿磨损的情况,那么牙齿在出现磨损之后应该如何治疗呢?
直接与医院在线医师一对一通话,方便!快捷!了解详情就医指导。

牙齿磨损的情况不同,治疗采取的方法也是不一样的。
1. 牙齿不均匀磨损,合面呈颊舌侧和中央较高的三高两低形态,其邻面磨损时,合面无法制成字型,以加强固位,充填采用常规方法,效果良好。由于老年人的牙体长期磨损,形态各异,常规方法无法修复时,临床医生应根据具体情况,将牙体形态和缺损情况综合考虑,采用非标准洞形进行修复。以满足修复的效果。
2. 牙齿均匀重度磨损,如果是生理性磨损,无症状者无需处理。出现牙本质过敏者,进行脱敏治疗。有牙髓病和根尖周病时,进行牙髓治疗。若合间距离过短,牙体大面积缺失时,一般在揭开髓室顶时在确保暴露根管口的前提下保留部分髓室顶,使髓室壁形成倒凹,充填时用磷酸锌水门汀或聚羧酸锌水门汀垫底,厚约为1毫米,银汞合金或后牙树脂充填。其优点是既修复了常规方法无法修复的患牙,又使充填材料为一个整体,受力均匀,牙体组织和充填物均不容易折断,并且简化了治疗程序。也可以采用合垫或者覆盖义齿进行修复,以恢复颌间距离。
文章看累了!点这里直接预约医生!方便快捷!
3. 牙齿不均匀磨损,非功能尖高而陡。为预防咬合创伤和牙折,调改咬合关系,需要分次磨改非功能牙间,降低其高度,以免造成牙本质过敏症。修正合面形态,做出溢出沟,治疗食物嵌塞。

牙齿虽然是人身体上硬的组织,但是也不能避免牙齿过度磨损的情况,牙齿过度磨损会导致牙本质外露,造成牙齿过敏或疼痛;牙齿过度磨损会造成牙髓炎,如得不到及时治疗甚至可以导致根尖周炎;磨损形成过高、过锐的牙尖或牙颈部过薄时,容易造成牙隐裂甚至牙折等。
点这里,直接预约医生!方便快捷!
牙齿咬合面的窝、沟、尖等重度磨损甚至被磨平,导致咀嚼效率大大减弱,迫使患者于咀嚼食物时,加大力量,加重牙周组织的负担,或者咀嚼不到位,加重胃部的负担;咬合面磨损严重者,使牙齿之间失去正常的接触关系,可出现食物嵌塞,进而可引起邻面龋和牙周病;咬合面磨损严重者,使牙齿之间失去正常的接触关系,可出现食物嵌塞,进而可引起邻面龋和牙周病。
牙齿磨损的治疗:对冷、热、酸、甜等敏感,可考虑采用脱敏治疗,其它则可以通过不同的情况采用牙冠、牙齿美容修复等方式进行修复。
还有不明白的,点击免费咨询,或者拨打24小时贝臣美牙热线0591-88681777咨询,福州爱尚贝臣口腔门诊部有限公司医生为您解答!

