福州装假牙多少钱
发布日期:2016-11-11 次浏览
想要具体了解福州装假牙多少钱?
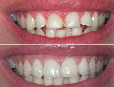
点击【在线咨询】直接问医生!方便!快捷!一旦发生了牙齿缺失,那么人们首先想到的就是牙齿镶嵌,目前镶牙的种类多种多样,适应症也愈加的广泛,能够更好的为各类患者进行服务。既然确定了适合自己的方法,那么价格就成为了大的问题,装假牙多少钱?
直接与医院在线医师一对一通话,方便!快捷!了解详情就医指导。

装假牙多少钱
医师说,在进行全口假牙修复前,牙科医师会对患者口腔进行全面的检查,对牙周牙龈的病变进行适当的修复,而如果口腔内有残根,则需要进行拔牙处理,而后牙科医师会结合患者年龄、经济等客观因素制定全口假牙修复方案,医师说指出:牙科临术上,用于全口假牙修复材料有很多种,不同种类的全口假牙其性能、美观度、使用寿命等方面有着极大的差别,因此选用不同的种类的全口假牙进行修复,全口假牙价格是多少各不相同。
直接与医院在线医师一对一通话,方便!快捷!了解详情就医指导。

装假牙多少钱
点这里,直接预约医生!方便快捷!
医师说,全口活动假牙,根据患者选用的材料不容,其价格也有差别:
1、镍铬金属,主要是镍铬合金制成,易导热,基托厚度相对树脂全口义齿较薄,但由于其是镍铬合金,长期使用会造成金属离子游离。价格大概要几千到几万左右。
2、钛合金假牙,基托为钛合金制成,含钛量仅为2%-6%。 价格大概要几千到几万左右。
3、纯钛假牙,整体较其他金属合金薄、轻,患者适应度高,生物相容性高,对人体无任何副作用。价格大概要几千到几万左右。
4、树脂假牙,价格较便宜,但使用年限不长,价格大概要几千到几万左右。

装假牙多少钱
由于全口种植牙有许多修复设计方案,费用有很大的差别从几万到十几万都有,患者需要先到专业正规的口腔医院,先做检查,并根据个人情况选择修复设计方案,因此,对于全口种植牙的费用方面是不能一概而定的.
在种植临术上,全口种植价格没有一个硬性的规定,全口种植价格根据患者口腔的具体情况、种植系统的选择以及种植机构的选择有着一定的差别。由于不同区域,不同种植机构间的消费水平及收费标准的不同,全口种植价格的收费标准也不相同。
以上所讲述的就是装假牙多少钱,希望可以帮助到大家了解到这方面的种植牙的知识。如果您还有其它的种植牙的问题想咨询的话,可以联系我们的在线专家为您解答。

