牙齿掉了修复需要多长时间
发布日期:2016-11-08 次浏览
想要具体了解牙齿掉了修复需要多长时间?
点击【在线咨询】直接问医生!方便!快捷!网上曾女士咨询:去年一次车祸,我的牙齿被撞掉了一颗,当时觉得没多大的影响,所以没怎么在意。近来,看着自己牙齿缺损的样子,就感觉到很难看,吃饭也不方便。想做牙齿缺损修复,但是不知道需要多长时间,所以想咨询一下医生:牙齿缺损修复要多长时间?
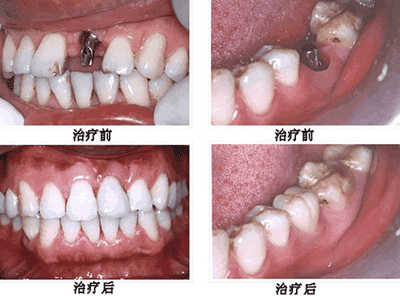
先感谢曾女士对我们福州爱尚贝臣口腔门诊部有限公司的信赖与支持。牙齿缺失要及时的修复,时间长了会感染疾病。牙齿缺失的修复时间要看牙齿缺失程度。
轻度牙齿缺损修复需要的时间:牙齿缺损面积小的可以用充填法修复,充填法所使用的材料主要有玻璃离子、银汞合金以及光固化树脂等。如果是一颗的话很快的,1个小时就可以了。对于使用银贡合金材料补牙的要24小时后才能变硬凝固,而在这一天内是不能用此牙咬东西的。
中度牙齿缺损修复需要的时间:牙齿缺损面积大用充填法不能修复的,可以用制作修复体的方法进行修复,修复体主要是全冠、嵌体和部分冠等。美牙冠修复需要一小时时间,具有美牙不拔牙,无痛苦,时间短,牙齿坚固,多年后牙龈不会出现黑线等优点,从而达到终生有保障的美牙效果。
重度牙齿缺损修复需要的时间:重度的牙齿缺损,则要考虑烤瓷牙或种植牙,这两种修复方案不仅可以修复牙齿功能,还可以大大改善牙齿美观。烤瓷牙一般修复时间较短,只需7天的时间。而种植牙的修复效果好,但是时间是长的,经过种植牙术后3个月至6个月后,更换或安装永久牙冠或义齿。
还有不明白的,点击免费咨询,或者拨打24小时贝臣美牙热线0591-88681777咨询,福州爱尚贝臣口腔门诊部有限公司医生为您解答!

