做种植牙修复好不好
发布日期:2016-11-06 次浏览
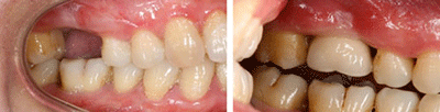
现在修复牙齿脱落的方法不仅有假牙,还有种植牙,可是这种水平有些人不了解,不知道它的水平修复后的效果好不好,那么做种植牙修复好不好?

种植牙是目前好的牙齿缺失修复,是缺牙者的好选择。做种植牙修复好不好?先来看看种植牙的优势:
1、外观好。种植牙看起来就跟自然牙一样,根本看不出来是假牙,种上牙以后整个人年轻了10岁。
2、对邻牙无害。种植牙不像假牙需要磨除邻牙做烤瓷桥,种植牙是只种在缺失牙的位置上,对邻牙没有伤害和影响。
3、种植牙很稳固。传统的假牙很不稳固,戴过假牙的老人们都知道,打个喷嚏也许假牙就掉出来了。种植牙是牢牢种在牙槽骨里面的,绝对不会有戴不稳的情况出现。
4、咬合功能好。传统的假牙咬颌力大概是自然牙齿的1/20,种植牙的咬颌力与自然牙齿相近,可以嚼碎较硬的食物。
5、维持健康的牙槽骨。长期的使用传统假牙会造成牙槽骨萎缩。但在缺牙区植入种植体能够增加牙槽骨的骨密度,减少了牙槽骨的吸收对牙齿更健康。
现在缺失牙齿的人越来越青睐于种植牙修复,因为不仅美观而且实用。种植牙的专业性很强,一般的牙医是做不了的,所以我们一定要选择专业大型的口腔医院进行手术,避免出现手术风险。

