种植牙能够使用多久
发布日期:2016-11-06 次浏览
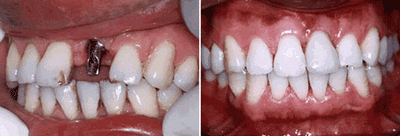
我们知道活动假牙是要不定期更换的,那么如果是种植牙又能使用多久?早的一颗种植牙,直至现在已经使用40多年了,可见种植牙是可以像真牙一样使用一生的,并不像假牙的寿命那么短经常的需要更换。

种植牙能够使用多久?决定种植牙寿命的几个关键因素。
1、医师的水平和经验决定种植牙寿命:种植牙手术,对医师的水平和经验有着极高的要求,并不是普通的牙医能做的。种植牙医师必 须要拥有丰富的临床经验,从而保证种植牙的长期效果,所以我们在选择种植牙机构时应该慎重,好选择大型靠谱的口腔医院。
2、种植系统不同寿命可能受到影响:种植牙系统有很多,而不同的种植牙系统,在生产工艺、加工精度等方面,都会存有一定差异。就像其他产品一样,不同的品牌质量不一样,不同的种植体和牙冠,使用寿命也有所差异。
3、术后的维护与保养:种植牙术后的维护与保养很关键,虽然种植牙是假牙,但它需要正常的牙槽骨、牙周组织来维护它的稳定性,所以种植牙齿后还是要好好刷牙,保持良好的口腔卫生,预防种植体周围的牙周组织发生炎症,这样就可以使种植牙的使用时间更长一些。
种植牙能够使用多久?一般来说做好术后护理工作,种植牙是可以使用终身的,平时好好刷牙,定期对牙齿进行检查,有问题及时解决,让种植牙会陪伴我们度过舒适的晚年。

