全瓷牙有什么优点
发布日期:2016-10-17 次浏览
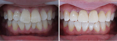
随着人们对牙齿美观度的要求越来越高,全瓷牙的出现深受人们的喜爱。全瓷牙可以在口腔内适应症很广泛,可将严重的四环素牙、氟斑牙、畸形牙、变色牙及牙齿缺损问题都可以通过全瓷来修复,是目前质量较好的一种牙列缺损修复方法。

全瓷牙的优点主要有以下几个方面:
生物相容性极佳:
很多人特别是女性对金属瓷冠中的金属有过敏反应,所以许多患者出于这方面的考虑,更愿意选择全瓷冠修复。据医师介绍,全瓷牙生物相容性好,可完全排除过敏反应。全瓷牙由于内冠是用瓷体材料,无金属,故牙龈边缘无黑线,无厚重感,无牙龈红肿出血现象,更加不用担心不良金属离子渗出影响健康。
色泽更接近于真牙:
由于全瓷牙里外都是瓷体,通透性好,对光线的反射更接近天然牙。其色泽、亮度、自然程度都要比普通烤瓷牙更接近于真牙,而且色泽显得特别有活性。全瓷修复还可以根据每位美齿患者自身条件和需求进行选择,达到个性化美齿的效果。
全瓷牙修复牙齿的优点主要表现为以下几个方面:
1、磨牙较少,更大程度地保留原来的牙齿组织。
2、牙龈边缘无黑线,无厚重感,无牙龈红肿出血现象。
3、与真牙相匹配的透光性,不会有在灯光下“青牙闪闪”的尴尬。
4、无不良金属离子渗出,不会影响健康。
5、与金属烤瓷牙相媲美的抗压强度,完全不必担心瓷崩裂的现象。

