做种植牙需要花多久
发布日期:2016-10-06 次浏览
很多朋友在做完假牙后吃东西多多少少会有些不方便,但是做种植牙就不会出现此类现象,因为种植牙是采用种植体,植入到牙槽骨当中的,不管是在功能上还是美观上,都与自然牙齿相近。
种植牙手术作为一种较小的牙槽外科手术,用于局部麻醉,创伤比较小,术后即可进食,几乎没有痛苦。一般种植体植入术只需要几十分钟至数小时即可以完成。

种植牙阶段:
一、做种植牙前,要先进行检查以及术前处理,例如:拔掉特别松的牙齿、残根,充填齿等,治疗牙周病在讲不良假牙除去,调改和纠正不良咬合关系等。所需时间根据各人的治疗情况不同而异。
二、种植牙手术阶段,患者的手术口腔专家会根据术前设计的方案,通过手术将种植体植入骨内,术后反应比较小。植入一枚种植体的时间大约在10-30分钟。
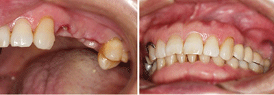
三、术后的2到5个月要换或安装恒久牙冠或者义齿,恒久牙冠为烤瓷材料制作,其质地优良、色泽逼真,舒适美观,恢复功能让很多求美者满意,经久耐用。
牙拔掉后能立刻种植吗?
我们正常长一颗牙齿的话,是需要2年的时间,而种植牙一般只需要2到5个月时间也是很正常的。做种植牙前,需要提醒广大朋友,做种植牙还是要选择种植牙医院才能得到安全保障以及治疗效果。
种植牙的适应症和禁忌症:
适应症
随着各类口腔种植植骨、植骨材料的应用,种植系统的不断完善,影像和数字化的发展,目前单牙缺失、多牙缺失及无牙颌患者理论上均可接受种植修复治疗。
禁忌症
全身健康状况不良。严重的内分泌代谢障碍,如未受控制的糖尿病。血液系统疾病,如红细胞或白细胞性血液病,凝血机制障碍等。心血管系统疾病,不能耐受手术的。长期服用特殊药物影响凝血或组织愈合能力者。严重的系统性免疫性疾病。过度嗜好烟酒、神经及精神疾患者。妊娠期患者。受口腔颌面部局部条件限制的患者。

