如何延长种植牙使用寿命
发布日期:2016-10-05 次浏览
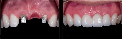
种植牙的咀嚼功能优越于传统的假牙,具有很强的稳定性和坚固力,使用种植牙不用磨牙,不伤害牙齿。
如何延长种植牙寿命?延长种植牙的寿命主要可以通过口腔清洁、饮食习惯、定期调理、牙齿护理等四个方面来延长。
种植牙能用多少年?点此立即咨询在线专家
种植牙寿命是否可以延长和患者平时的日常习惯有很大的关系,在种植牙手术后,患者要注意维护保养,良好的生活习惯才是延长种植牙寿命的唯一办法。

一、口腔清洁
种植牙有类似天然牙的牙体与牙周关系,因此,要像爱护真牙一样,早晚刷牙,保证口腔的清洁环境。
种牙多少钱一颗?点此立即咨询在线专家
二、饮食习惯
如果吃了太硬的食物种植牙也会和真牙一样受到磨损,因此尽量避免。比如啃咬核桃,长期嗑瓜子等,无论是真牙还是种植牙,都会不同程度的收到磨损。
三、定期调理
种植牙需与天然牙协调,以维持正常的口颌系统功能,对种植牙定期进行调处理,以适应不断变化的牙合关系。种植牙和天然牙一样由多个部分组成,但天然牙的各个部分是有机地结合在一起,而种植牙是靠螺丝或粘接剂连接,定期检查种植牙的各个部件是否出了毛病,以便及时修理。
四、牙齿护理
强调的是只要做好口腔卫生并定期检查,人工种植体能维持的时间就可以和真牙一样久。建议大家无论选择什么样的做牙齿修复都要尽可能的做好牙齿护理,不要过分的依赖于外在的因素,坚固的牙齿是要靠自己呵护出来的。
种植牙对医师的要求很高,做种植牙一定要选择到正规的医院进行治疗。种植牙有类似天然牙的牙体与牙周关系,有必要对种植牙的周围进行特殊的种植体洁治和周围天然牙进行常规洁治。

