牙齿不齐该怎么办
发布日期:2016-09-17 次浏览
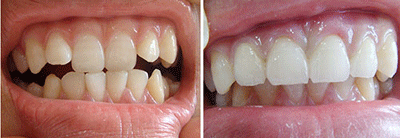
现实生活中,很多人由于先天遗传或者后天的不良习惯造成牙齿不整齐,牙齿不齐对患者造成很大的伤害,容易使患者产生自卑,影响到人们正常的生活。

牙齿不齐的危害
福州爱尚贝臣口腔门诊部有限公司医师指出,牙齿不齐应当及时治疗,因为牙齿不齐对人体有很大的伤害:
1.对口腔的健康有害:牙齿不整齐在刷牙时不易清洁.使食物残醅长期滞留在牙间隙牙龈边缘等处容易发生龋病(虫牙)、牙结石(牙垢)、牙龈炎(牙龈出血)等。严重的可发展为牙周病,时间久了还会引起疼痛等症状。
2.影响口腔的功能:牙齿不整齐会影响牙齿正常的咀嚼功能以及吞咽。
3.影响美观:牙齿不整齐会引起面部的不协调,从而影响了人们正常的交际,尤其是儿童容易自卑。
福州爱尚贝臣口腔门诊部有限公司医师建议,牙齿不整齐会影响患者的正常的生活和发展,因此应当及时正确地治疗。
牙齿不整齐的矫正方法——美容冠
牙齿不齐会给人们的身体和心理带来很大的影响。现在,福州爱尚贝臣口腔门诊部有限公司的美容冠可以将牙齿不整齐的危害减到低。美容冠矫正牙齿不需戴牙套,不拔牙,采用美国WIND无痛,利用3D数码定位调整牙弓形态,使其恢复到一个后的弧度。
美容冠突破传统烤瓷牙的各种弊端,对牙列不齐的临床冠部分施以,后用美容冠加以矫治。整个美牙过程轻松完成,无需拔牙更无痛苦。矫治整个过程只需7天,美牙后牙齿更加坚固、多年后牙齿不易出现黑线,具有持久的美牙效果。

