美容冠矫正虎牙怎么样呢
发布日期:2016-09-16 次浏览
美容冠矫正虎牙怎么样呢——福州爱尚贝臣口腔门诊部有限公司医师介绍,很多人以为虎牙严重的影响人的没法,所以选择把他拔掉,但是医师建议,拔掉后会出现当初意料不到的不良后果。还不如给虎牙美容吧!

美容冠矫正虎牙怎么样呢?首先医师先为大家介绍一下虎牙的危害有哪些?
1、面部不协调虎牙是我们的口角支撑点。虎牙排列在嘴角两边的转弯处,支撑着嘴唇保持面部的丰满。而虎牙过部外露,则会显得脸显大方脸,有的甚至还会引起人面部不协调,不够丰满。若虎牙缺失会引起上嘴唇塌陷,影响面容。
2、影响咀嚼虎牙锐利有力,在咀嚼中起撕碎食物的作用。如若虎牙过度空出,使之上下颌牙齿咬合不正,刚会导致颞下颌关节等疾病,会影响到我们人体健康。
3、影响美观虎牙冠大、牙根长,所以当它突出支起嘴唇时就显得特别难看,会影响唇的活动和美观。因而许多人都想要把老虎牙拔掉。其实,据医师介绍,盲目拔老虎牙的做法是不科学的,也是不可取的。要选择值得信赖的医院和医师。

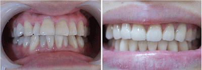
给虎牙美容,医师向我们美容冠
美容冠牙齿美容在流行于欧美、日韩的一种新兴牙齿美容,其实在传统烤瓷牙的基础上强调牙齿的美容效果,对错位牙、畸形牙的临床冠部分施以手段,极后用美容冠加以修复。具有美牙不拔牙,无痛苦,时间短,牙齿坚固,多年后牙龈不会出现黑线等优点,从而达到终生有保障的美牙效果。
美容冠为近年由欧美引入的新兴美齿,针对成人,对龅牙、排列歪斜牙、畸形牙以及色素牙,可彻底、快速矫正修复,无需拔牙,全程无痛。生物相容性好,牙龈不会出现黑线,7天轻松拥有一口洁白整齐牙齿。
美容冠适合人群:暴牙、虎牙、老鼠牙(个小牙)、地包天、前牙拥挤、前牙稀疏、牙列不齐、牙齿缺损、烤瓷失败、错过矫正黄金期的成年人以及重度四环素牙等。
美容冠矫正牙齿的优势:
▇ 逼真美观、坚固耐磨;
▇ 生物相容性好,不刺激口腔组织,易清洁;
▇ 耐磨耗,不易破损;
▇ 不用摘戴,适应快,口腔内异物感小;
▇ 咀嚼功能恢复好;
▇ 时间短,一般就诊两次,一个星期的时间即可完成。

