矫正龅牙要多长时间
发布日期:2016-08-10 次浏览
传统龅牙矫正需2年左右。传统的龅牙矫正方式是通过戴矫正器来进行矫治,而且要拔掉部分牙齿,需要时间比较长。牙套矫正的原理就是在牙齿表面黏上牙钉,即牙齿矫正器,再在牙钉上扣上钢线,并以钢线施力来使牙齿移动,令牙齿重新排列。

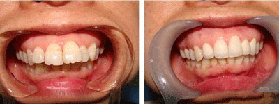
仿生美牙冠——1个小时即可完成龅牙矫正!
仿生美牙冠是新兴美齿,在传统烤瓷牙的基础上强调牙齿的美容效果,对错位牙、畸形牙的临床冠部分施以手段,后用美牙冠加以修复。针对成人,具有美牙不拔牙,无痛苦,时间短,牙齿坚固,多年后牙龈不会出现黑线等优点,从而达到终生有保障的美牙效果。生物相容性好,牙龈不会出现黑线,整个治疗过程只要1个小时,1个小时就可以还你洁白整齐牙齿,终生美齿。
仿生美牙冠与传统的美牙相比还具有五大优势:
1、形态完美:牙龈边缘无黑线,无厚重感,犹如牙齿从牙龈里自然生长出来。
2、色泽自然:与真牙透光性相匹配,色泽自然,晶莹剔透。
3、坚固更加:与金属烤瓷牙相媲美的抗压强度,完全杜绝崩瓷现象。
4、健康无害:杰出的生物相容性,绝无不良金属离子渗出影响健康美观。
5、无痛无损伤:磨牙较少,程度地保留健康的牙体组织。
福州爱尚贝臣口腔门诊部有限公司拥有世界、 的全套齿科设备,以及保证质量的全套尖端齿科配套材料,在治疗过程中有卓越表现,令效果更快捷、更舒适。

