四环素牙对牙齿有影响吗
发布日期:2016-08-05 次浏览
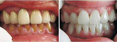
四环素牙是一些人的痛处。四环素牙主要是因为吃了过多的四环素药物之类造成的。四环素牙是困扰很多人的问题,影响心情没有自信,久而久之可能会有点自卑,除此之外,四环素牙对牙齿还会有影响吗?

【四环素牙对牙齿有影响吗】
出现牙釉质缺损:四环素导致牙齿变色的程度与用药剂量、持续时间及牙齿发育状况有关,牙齿形成期时服用药物越早、用药剂量越大,用药时间越长,四环素牙对儿童牙齿发育的危害就是牙齿变色越重,伴发牙釉质发育不全也越严重,甚至出现牙釉质缺损。
引发龋齿:四环素不仅引起牙齿变色,还可伴发不同程度的釉质发育不全即牙釉质钙化程度降低或缺损,这种牙齿容易发生蛀牙;还可引起使骨组织生长缓慢。影响后期治疗:由于牙本质中的羟磷灰石晶体的总面积比覆盖在其表面的牙釉质晶体大,因此牙本质吸收四环素的量要多于牙釉质,所以牙齿变色更主要的发生在深层的牙本质中。
影响牙齿色泽以及美观:四环素牙对儿童牙齿发育的危害主要是影响牙齿颜色与美观。轻度的四环素牙为均匀的淡黄色或淡灰色;中度变色者为均匀灰色或浅褐色;重度变色的牙齿表现为不均匀的黄褐色、灰褐色,甚至灰黑色。四环素牙不仅严重影响牙齿的美观,还给广大爱美者带来巨大的心理压力,甚至还会容易引发龋齿、牙周病等等,所以四环素牙需要及时牙齿修复治疗。

