牙黄要怎么美白
发布日期:2016-07-09 次浏览
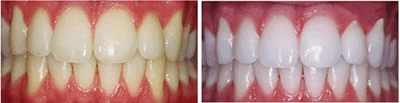
牙齿发黄是很多人的牙齿都面临的一种牙齿情况,它直接对患者的脸部美观造成影响,危害患者的的身心健康。那么,牙黄牙怎么美白?

福州爱尚贝臣口腔门诊部有限公司医师表示,牙黄是因为在生活中没有养成良好的习惯而让牙齿表面被附着各种难看的色素沉积物,时间长了就会覆盖牙齿原来的颜色,出现变得的情况。同时,牙黄还有可能是因为遗传因素引起的,而这种黄牙是比较难以清除的,必须通过专业的美白方式加以美白。
对于遗传性的难看黄牙,美牙冠是非常好的选择。美牙冠是通过对牙齿施以专业的手段,再冠以精致的牙冠以实现美牙的目的。美牙冠美容后的牙齿精致美观,各种牙齿功能齐全,效果非常好。
对于一般性的牙齿发黄的情况,美白就可以做到较好的美白效果。美白是通过对牙齿进行高强度的彩光定点照射,去除牙齿表面及深层的牙齿变色附着物,彻底的美白牙齿。
