怎样才能使牙齿变白
发布日期:2016-07-09 次浏览
微笑被称为社交圈的第二张名片,所以很多人见面都会微笑着打招呼。但也有一些人由于牙齿发黄、发黑等原因导致想笑不敢笑的尴尬局面。为了提高自己的知名度,美白牙齿就成了首要的任务,那么怎样才能使牙齿变白呢?

牙齿着色的原因
关于牙齿着色的原因,福州爱尚贝臣口腔门诊部有限公司医生介绍说,单纯的牙齿色黄、色暗等统称为牙齿着色。它一般分为外源性着色和内源性着色两种。简单地说,外源性着色是指牙齿"外在染色",主要是由于食物色素着色、烟渍等造成。而内源性着色,则是由于在牙齿发育时期服用了某种药物或饮用水质等原因导致牙齿颜色异常,常见的有四环素牙和氟斑牙。
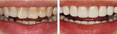
怎样才能使牙齿变白?
1、冷光美白牙齿:冷光美白牙齿采用低温冷光,将波长介于480-520纳米之间的高强度蓝光,经由12000多根、总长度超过一英里的光纤传导,再通过两片经30多次镀膜处理的光学镜片,隔除一切有害的紫外线与红外线,配合直径为20纳米的美白胶共同作用,经过30分钟的疗程,一口自然亮丽的牙齿就会展现在您的面前。这种牙齿美白的方法效果显著、过程快速、安全可靠而且效果持久。
2、超声波无痛洗牙:一般而言,牙结石容易造成牙菌斑的堆积,造成牙龈炎、牙周病。超声波无痛洗牙主要是针对清除牙齿结石部分,同时也有美白的功效。厚层的染色,借着超音波洗牙也可以去除大部分。但如果牙齿有凹洞,有沟槽,或是邻接面的地方,染色是不易清除的。另外,洗牙后为了保持更好的洗牙效果平时可选用具有美白功能的牙膏,少吸烟、少喝有色饮料。
3、瓷贴面美白:瓷贴面就是在染色牙表面粘贴一层近似正常牙色的材料,用以遮盖牙齿上的颜色。现在较广泛运用的是树脂材料,但因树脂本身半透明,所以对中度有色牙的效果好,对严重的四环素牙等达不到理想效果。瓷贴面可保持几年时间,但存在易脱落、易变色 、引起牙龈肿胀、出血等缺点,一般不建议求美者大面积使用。
4、烤瓷牙:烤瓷牙可以对中、重度四环素牙、黄板牙、釉质发育不全、牙齿有裂纹、残缺、坑洞等严重个例进行美白和修复,一般而言烤瓷是美白牙齿效果 好、保持时间 长的方法,可使用几十年。

