有哪些原因引起四环素牙
发布日期:2016-07-09 次浏览
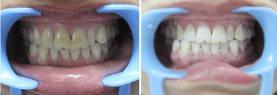
四环素牙影响牙齿色泽健康,你是不是也在为开怀大笑的时候露出一口难看的牙齿而苦恼不已?近日,许多网友咨询福州爱尚贝臣口腔门诊部有限公司医生说:如何才能去除这些难看的色素呢?

美牙专家解释说:
在牙的发育矿化期,服用的四环素族药物,可被结合到牙组织内,使牙着色。由于釉质和牙本质同时形成在一个基底膜的相对侧,所以同一次的剂量能在两个组织中形成黄色层;但在牙本质中的沉积比在釉质中要高4倍,而且在釉质中仅为弥散性的非带状色素。
四环素类药物包括四环素、土霉素、甲稀土霉素、金霉素、去甲金霉素和强力霉素等。这类药物是一种能够广泛地抑制致病菌的抗生素,目前医疗上常常用来控制炎症,效果也比较好。
引起四环素牙与下列因素有关:
1、四环素族药物本身的颜色,如:去甲基金霉素呈镉黄,土霉素呈柠檬黄色。
2、降解四环素而呈的色泽,因为四环素对光敏感,可以在紫外线或日光下变色。
3、四环素在牙本质内,因结合部位的深浅而使牙本质着色的程度有所不同,当着色带越靠近釉牙本质界时,越易着色,因而、在婴儿早期,形成外层牙本质时,用药影响很大。
4、与釉质本身的结构有关,在严重釉质发育不全,釉质完全丧失时,则着色的牙本质明显外露;如果轻度釉质发育不全,釉质丧失透明度而呈白垩色时,可遮盖着色的牙本质,反而使牙色接近正常。

