四环素牙也能变白
发布日期:2016-07-09 次浏览
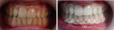
很多四环素牙的患者都想知道怎么样才能美白四环素牙,医生介绍对于四环素牙,一般的变色不需要处理。对于较严重变色或有特殊需要者可进行特殊处理,如采用光固化树脂材料修复。

四环素牙怎样美白?
对于四环素牙着色特别严重的牙,由于遮色效果差,用上述方法治疗难以令人满意,可采用脱色法,即漂白法。
脱色法又包括外脱色和内脱色法。外脱色法是用高浓度的双氧水或用稀盐酸处理牙面,可使牙釉质酸蚀脱矿,呈白至色,降低牙釉质原有的透明度,使染色的牙本质不能被反映出来,但随着时间的推移,釉质再矿化,又会恢复其透明度,出现色泽反跳。内脱色法是将牙髓摘除,作常规根管充填后在髓室内封入脱色剂(30/o双氧水与硼酸钠调成的糊状),当色泽令人满意后,用复合棚旨充填。这种方法 大的缺陷就是使活髓牙成为无髓牙,故有些专家认为此法不可取。较为严重的四环素牙可用光固化复合树脂或作贴面修复。
四环素牙怎样美白?
除了以上方法,还特别推出超薄瓷贴面美白四环素牙,不用磨牙一次性的终身美白四环素牙,是您的 佳选择。对于四环素牙,预防是关键。孕妇和6岁以前的儿童应禁用四环素类药物。我国卫生部已淘汰了四环素族抗生素的小儿制剂十多种,这对保障儿童的牙齿健康有很大意义。
