种植牙可以使用多长时间
发布日期:2016-07-08 次浏览
种植牙是一种比较不错的修复牙齿,价格方面也是比较高的,因此许多人选择这个方式修复牙齿之前都会比较谨慎,想要了解更多的信息,比如说种植牙可以使用多长时间?

种植牙怎么样?
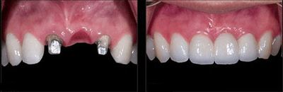
种植牙是当下比较不错的修复牙齿的方式,可以通过把金属种植体植入牙龈下的牙槽骨中,然后在种植体上面作烤瓷冠修复。修复之后的牙齿是比较自然美观,容易清洁的,可以媲美自然牙,因此价格方面较贵,但是效果确实是很不错的。
而且种植牙的成功率也是比较高的,一般会在几十分钟数小时即可以完成,所采用的种植牙材料也是与人体相容性极好的生物材料,这种材料植入人体之后是不会对人体造成危害的,爱美者可以放心选择。
种植牙可以使用多长时间?
种植牙确实不错,但是价格也是很贵的,一些爱美者想去做的,但是对于种植牙的寿命也是非常关注的,如果种植牙之后保持的时间不长,那么就不知道值不值得去做这个种植牙了。
其实种植牙是可以保持较长的时间的,大多人都是可以保持十年以上的,但是并不确定,因为种植牙的保持时间也会跟治疗好坏、患者日后的身体状况、使用及自我维护相关。总的来说种植牙修复牙齿还是不错的选择。
种植牙可以使用多长时间?种植牙的保持时间还是很长的,爱美者如果有需要可以选择到福州爱尚贝臣口腔门诊部有限公司来体验一下种植牙的效果,让自己的牙齿可以修复,可以正常进食,以及保持良好的形象。

