福州龅牙矫正哪里好
发布日期:2016-06-28 次浏览
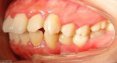
福州龅牙矫正哪里好?龅牙在生活中属于常见畸形牙。相信大多数人中也会有龅牙的朋友。因此也了解龅牙是影响面容的畸形牙。怎样矫正龅牙成为患者期待。那么,福州龅牙矫正怎么样?

导致龅牙的因素
可能有先天遗传因素和后天不良习惯。该病具有明显的种族发病特征和家族聚集倾向;但后天的不良习惯,如:口呼吸、吐舌、咬下唇和成人吮吸习惯等也可能是造成该病的原因。
龅牙有哪些危害?
一、龅牙影响颅颌面的发育,如果放任不管,则会越来越严重,甚至影响正常的生活,同时也会影响患者的心理健康;
二、影响口腔的健康,龅牙由于不易自洁而好发龋病及牙龈牙周炎症,同时常因牙齿错位而造成牙周损害。
三、影响口腔功能,严重的龅牙可以影响口腔正常功能,如前牙开颌造成发音的异常,严重下颌后缩则影响正常呼吸。

矫正龅牙的方法有哪些?
普通钢丝托槽矫正器:作为一种常见的牙齿矫正器,虽说价格实惠,但一般美观度欠缺,且通常在正畸期间口腔卫生护理较为困难和不便。
自锁矫正器:这种牙齿矫正器患者佩戴方便,正畸期间配合比较容易,口腔卫生清洁较为容易,能相对缩短矫治时间,也是目前较为常见的一种牙齿矫正器,受到了很多牙齿修复患者的青睐。
无托槽隐形矫正: 隐形正畸,不需要托槽和钢丝,采用的是一系列隐形矫治器,该隐形矫治器由安全的弹性透明高分子材料制成,使矫治过程几乎在旁人无察觉中完成,不影响日常生活和社交。
福州龅牙矫正哪里好?
福州爱尚贝臣口腔门诊部有限公司多年来致力于福州牙齿矫正。为了更好的服务患者,福州爱尚贝臣口腔门诊部有限公司作为福州第一家口腔机构与北京、上海等国内知名口腔医科大学签订人才战略合作,其同时具备丰富的临床经验和掌握口腔医学美学理念。并且拥有12000例正畸临床案例,在行业间树立起美学典范,成为专业美牙矫正机构。


