福州种植牙多少钱一颗
发布日期:2016-11-07 次浏览
作为一种新兴的口腔修复方式,种植牙可完美解决缺牙遗憾,一次修复、终身无忧。那么,种植一颗牙需要多少钱呢?种植牙的费用由需种植牙者的口腔状况决定,因为口腔状况直接决定了牙齿种植所需要的医师,方案以及材料等。所以,一些口腔医院广告所宣传的一口价是没有任何保障的,也是没有任何科学依据的,要谨慎选择。

福州爱尚贝臣口腔门诊部有限公司费用公开透明。因为每个人的牙齿及口腔状况不同,所以并不能给出具体的费用,但是福州爱尚贝臣口腔门诊部有限公司在收费方面是决对按照国家标准收取的,所有花费用处都会详细告知患者,公开透明。其实,相比较于其他医院,相同的费用,福州爱尚贝臣口腔门诊部有限公司医师更好,医术更,环境服务更好……所以,绝对让你觉得物超所值!
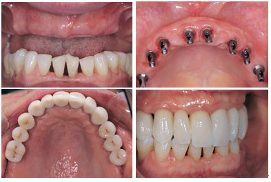
牙齿缺失种植效果
种植牙作是目前,效果相对较好的牙齿缺失修复方式,可以完美解决缺牙遗憾,种植后的牙齿和真牙无异,咀嚼能力强,效果是非常好的,被誉为人类的第三副牙齿,因此种植牙物有所值,所以其价格也不菲,需要一定的经济承受能力。除此之外每个人的牙齿情况不同,所选择的种植牙材料不同,费用也是不同的,因此种植牙的费用是因人而异的。影响种植牙费用的因素是多方面的。

完美种牙,有高招!
作为知名的口腔种植品牌,有着自己的并不奇怪。福州爱尚贝臣口腔门诊部有限公司种植牙目前所采用的德国精工种植牙,是全球公认的、牙齿种植,一经推出便成功国际种植齿科的金标准。
德国精工种植牙能达到的种牙效果:整个种牙过程只需20—30分钟,安全、稳定、可靠。即拔即种,可将种植体在拔牙同时一次性植入,无需二次开刀种植,种植后可立即吃东西。固位性好、咀嚼功能强大,美观舒适、完全能与真牙相媲美。
